E-ISSN 2218-6050 | ISSN 2226-4485
 

Research Article


Open Veterinary Journal, (2025), Vol. 15(6): 2693-2702

Research Article

10.5455/OVJ.2025.v15.i6.38

Protective role of alcoholic extract of Juglans regia pulp in reducing the adverse effects of citalopram in the liver of male rats

Mutashar Jaddoa Jiheel1, Ahmed Dhahir Latif2, Alwan Al Qushawi3 and Hasanain A. J. Gharban4*

1Department of Medical Analysis, College of Science, University of Waist, Wasit, Iraq

2Department of Pharmacology and Toxicology, College of Medicine, University of Waist, Wasit, Iraq

3Department of Basic Science, College of Dentistry, University of Waist, Wasit, Iraq

4Department of Internal and Preventive Veterinary Medicine, College of Veterinary Medicine, University of Wasit, Wasit, Iraq

* Corresponding Author: Hasanain A. J. Gharban. Department of Internal and Preventive Veterinary Medicine, College of Veterinary Medicine, University of Wasit, Wasit, Iraq. Email: hghirban [at] uowasit.edu.iq

Submitted: 01/03/2025 Revised: 14/05/2025 Accepted: 17/05/2025 Published: 30/06/2025


Abstract

Background: Citalopram is a class of antidepressant drugs that works by increasing the amount of serotonin to maintain mental balance. However, the risk of liver damage associated with citalopram use remains an area of ongoing research, with several potential mechanisms implicated in its pathogenesis.

Aim: This experimental study aims to evaluation of physiological and histological renal damages due to low and high citalopram doses and the ameliorative role of walnuts-pulp extract in reducing hepatotoxic damage.

Methods: To assess the side effects of citalopram and evaluate the ameliorative effect of Juglans regia pulp extract on liver functions, 32 mature male rats were divided into four equal groups: the first group was kept as the control group, drench 0.5 ml tab water; the second group was ingested 0.6 mg/kg of citalopram and 10 mg/kg of J. regia pulp extract; the third group was ingested 0.6 mg/kg of citalopram and 20 mg/kg of J. regia pulp extract; and the fourth group was ingested 0.6 mg/kg of citalopram only (all groups drenched daily for 60 days).

Results: Significant elevation in alanine transaminase (ALT) and aspartate transaminase was observed in all animals treated with citalopram with or without J. regia pulp extract, but ALT in animals treated with citalopram with 20 mg/kg J. regia extract showed a significant reduction compared with others. The serum bilirubin levels revealed no significant differences between the groups of treated animals. Pathohistological sections showed normal histological structures for hepatic tissue and sinusoids without any significant occupied lesions in control and animals treated with J. regia pulp extract at both doses with citalopram. In tissue sections of rats drenched citalopram, there were fatty degeneration, with fibrous network formation, structureless, homogenous, and pinkish material, hepatic vein congestion and narrowing in the hepatic artery and arteriole diameter, fat droplet accumulation in the hepatocytes.

Conclusion: Treatments with citalopram caused liver dysfunction and damage in liver tissue, whereas J. regia pulp extracts have a protective role against liver tissue at high or low doses.

Keywords: Hepatotoxicity, Walnut, Antidepressant, Liver function tests, Iraq.


Introduction

The liver is an important large gland, and it is one of the most important organs for life in the human and animal body. The liver has many functions that make it difficult to count them; therefore, it is important to perform all the activities of the body at the level of the organs or the level of the body as a whole (Ozougwa and Eyo, 2014). The process of controlling the transfer of absorbed substances from the digestive system into the bloodstream is one of the most important basic functions of the liver (Mohajan, 2025). It is considered of great importance that it cannot be dispensed with even for a very short time, and death occurs as soon as the complete removal of the liver (Shojaie et al., 2020). The most important liver functions include bile secretion, bilirubin metabolism, vascular and hematologic functions, detoxification, minerals and vitamin storage, and immunologic function, and it has interrelationships with other organs (Prince et al., 2020).

Doctors and specialists in the field of biological sciences for investigation of liver viability use a test called liver function, which is a group of many tests to identify the concentrations or activity of some liver products as an indicator of the vitality and health of the liver. These tests include measuring the concentrations of some enzymes that are present in the blood when the liver is injured, such as SGOT (Lee, 2009), or measuring the concentrations of some substances produced by the liver and released into the bloodstream, such as some types of protein. In addition, the concentrations of other substances whose height is considered harmful to the body and get rid of through the liver as products that break down red blood cells, bilirubin, for example (Gowda, 2009). The presence of certain enzymes or differences in the concentrations of some of these substances indicates a defect in the vitality or health of the liver (Ullah et al., 2016). The liver is affected by the excessive use of medicines and even some foods consumed by humans, which are surplus to the body’s needs and are stressful for the liver in the process of organizing storage, transfer, or disposal of these excess substances, such as fats, alcoholic beverages, and others (Chen et al., 2015). One of the widely used drugs in recent years is antidepressants, which are among the drugs that have many adverse effects and are dangerous at the same time (Stroup and Gray, 2018). Some of these damages are known and proven, and perhaps there are many adverse reactions that are not yet known.

This study aims to find out if there is damage caused by antidepressant drugs (citalopram) on the liver level. On the other hand, the use of Juglans regia pulp is widely used to determine whether the extract plays a role in reducing or limiting the adverse effects of citalopram.


Materials and Methods

Study animals

In total, 28 male rats of 118–159 g of weight were purchased from a private animal house in Baghdad province (Iraq) and transported to the Animal House in the College of Science at the University of Wasit. Initially, the study animals were subjected to a preparation period of 1 week, during which they were fed a pellet, presented to tap water, and exposed to 12/12 hours of light/dark.

Extract preparation

An overall 1,000 m of walnuts-pulp were purchased from a local supermarket, ground using an electron mill, and transported to a Soxhlet extractor. The extract was obtained using ethanol (70%) for 72 hours at room temperature, and then, the extract was then filtered using a filter paper, and the ethanol was removed using a rotary evaporator at 55°C. The obtained crude extract was dissolved in dimethylsulfoxide, and the mixture was kept at –20°C until use.

Experimental design

Thirty-two albino male rats were divided randomly into four equal groups in plastic cages and incubated in the Animal House in the College of Science (University of Wasit) for 2 weeks for adaptation. The experiment was started by drenching the animals for 60 days as follows: The first group was drenched with 0.5 ml of tap water, which was kept as a control.

The Second group received 0.6 mg/kg citalopram.

The third group drenched 0.6 mg/kg citalopram with 10 mg/kg J. regia pulp extract.

The fourth drenched 0.6 mg/kg citalopram with 20 mg/ kg J. regia pulp extract.

Blood sampling

To determine the concentration of blood urea and creatinine on day 1, 1 ml of venous blood was collected from the tail of each animal into labeled free- anticoagulant glass-gel tubes to be centrifuged at 5,000 rpm for 15 minutes. The obtained sera were transferred into labeled Eppendorf tubes that were frozen at –20°C until be used. On day 60 of experiment, all study animals were anesthetized with chloroform and subjected to direct collection of blood from the heart using a disposable syringe into labeled free- anticoagulant glass-gel tubes to be centrifuged at 5,000 rpm for 15 minutes. The obtained sera were transferred into labeled Eppendorf tubes that were frozen at –20°C until used.

Liver tissue collection

After anesthetizing the study rats at the end of the experiment, the kidneys of each animal were collected into labeled plastic containers and fixed in neutral buffered formalin (10%).

Biochemical measurements of liver enzymes and bilirubin levels

According to the manufacturer’s instructions for quantitative ELISA kits (SunLong Biotech, China), serum samples and the contents of each kit were prepared and processed, and the optical density (OD) was measured at 450 nm using a microplate ELISA reader. Then, the concentrations of alanine transaminase (ALT), aspartate transaminase (AST), and bilirubin in the tested samples were quantified based on the ODs and concentrations of Standards as well as the ODs of samples (Gharban and Yousif, 2020; Al-Eodawee et al., 2024).

Histology

According to a previously described protocol, the fresh tissue sections were dehydrated, cleared, infiltrated, paraffin-embedded, sectioned using a microtome, mounted on glass slides, stained with Hematoxylin and Eosin, and visualized using a light microscope (Hussen et al., 2024).

Statistical analysis

Two-way ANOVA in GraphPad Prism Software was performed to calculate significant differences between the values of the four study groups at various periods at p < 0.05. Data were presented as mean ± standard error (Wahab et al., 2024).

Ethical approval

This study was conducted under the license of the College of Science (University of Wasit) during April- June (2021) under license No. 348/21-2-2021.


Results

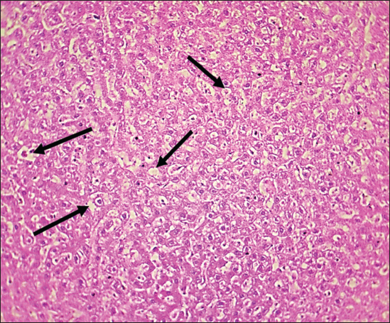
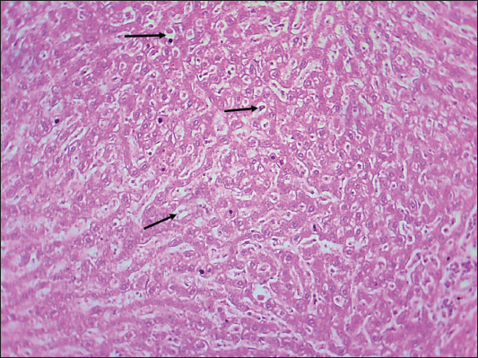
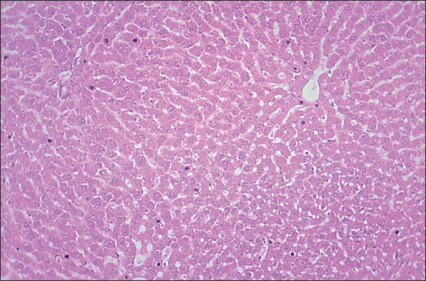
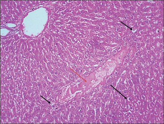
The results of this study revealed no significant differences in bilirubin levels in all treated animals (Table 1), whereas serum ALT and AST levels showed significant elevations in all treated animals either by citalopram alone (fourth group) or with J. regia pulp extract at doses of both 10 and 20 mg/kg (Tables 2 and 3). Sections of histopathological study appeared as mild degenerative lesions characterized by infiltration of fat droplets inside hepatic cells, which gave them a ring shape appearance due to pushing the nucleus at one side from the hepatic cells with fibrous networks formation in the tissue parenchyma, infiltration of structureless, homogenous, and pinkish material (Figs. 16). Clear hepatic vein congestion and narrowing in the hepatic artery and arteriole diameters revealed that citalopram caused liver dysfunction and injury (Figs. 79).


Discussion

These results correspond with those of other studies, in which patients treated with antidepressants appeared to have moderately elevated levels of the aminotransferase. All antidepressants caused hepatotoxicity; citalopram is that have the least potential for hepatotoxicity, which is characterized by high alanine aminotransferase levels (Gartlehner et al., 2008; Voican et al., 2014; Ilgın et al., 2020). The results of this study revealed no significant differences in bilirubin levels in all treated animals as the level of p < 0.05, serum ALT and AST levels showed a significant elevation in all treated animals either by citalopram only (fourth group) or with J. regia pulp extract at doses of 10 and 20 mg/kg B.W. Sections of histopathological sections show mild degenerative lesions characterized by infiltration of fat droplets inside hepatic cells, which give them a ring shape appearance due to pushing the nucleus at one side from the hepatic cells with fibrous networks formation in the tissue parenchyma, infiltration of structureless, homogenous, and pinkish material (Figs. 4 and 6). Clear hepatic vein congestion and narrowing in the hepatic artery and arteriole diameters revealed that citalopram caused liver dysfunction and injury (Figs. 79).

Table 1. Serum bilirubin concentrations in male rats treated with citalopram and crude ethanolic extract of J. regia pulp.

Table 2. Serum ALT concentrations of male rats treated with citalopram and crude ethanolic extract of J. regia pulp.

Table 3. Serum AST concentrations of male rats treated with citalopram and crude ethanolic extract of J. regia pulp.

The liver has large quantities of metabolizing enzymes as well as the largest blood supply; therefore, it is exposed to the harmful effects of most drugs (Patel and Patel, 2023). Some antidepressants can inhibit or induce cytochrome P450 activity, thus affecting the serum levels of antidepressants or their metabolites and thereby potentially increasing the risk of hepatic toxicity and, to a lesser extent, for selective serotonin reuptake inhibitors, including fluvoxamine, paroxetine, and citalopram (Edinoff et al., 2021; Luong et al., 2022). Therefore, abnormal liver function test results in antidepressant-treated patients should be interpreted with caution. The pathological mechanism of liver damage associated with antidepressant use is metabolic or immunoallergic. In most cases, the onset of drug- induced liver injury is extended from several days to 6 months after antidepressant treatment (Voican et al., 2014).

Antidepressants and antipsychotics have the ability to cause hepatotoxicity even at medical doses. Drug- induced liver injury caused by antidepressants and antipsychotics may occur through multiple molecular mechanisms, including unwanted drug side effects or its metabolites, liver oxidative stress, steatosis, and inflammation (Todorović Vukotić et al., 2021). An elevation of serum ALT, AST, and TSB levels is a biomarker of liver injury due to citalopram administration.

According to the findings of the histopathological study, necrosis in liver cells, asymmetry of nuclear liver cells, and disarrangement of hepatocytes were observed in the animals treated with 10 mg/kg citalopram as reported by another researcher (Ilgın et al., 2020). The study also found that citalopram caused liver tissue injury, such as necrosis, fatty infiltration, and blood vessel congestion. Citalopram is one of the drugs that induce liver injury, as mentioned above; central nervous system drugs are among the most common drugs that cause liver injury (Jiang et al., 2024). The elevation of TSB, AST, and ALT levels in addition to morphological changes in the hepatocyte parenchyma was considered indicator of liver injury following treatment with citalopram in rats. Mild necrosis and disarrangement of hepatic cords in animals treated by citalopram. Hepatotoxicity findings associated with citalopram administration (Ahmadian et al., 2017). Therefore, the role of J. regia pulp extract in protecting the liver tissue was clarified according to our results.

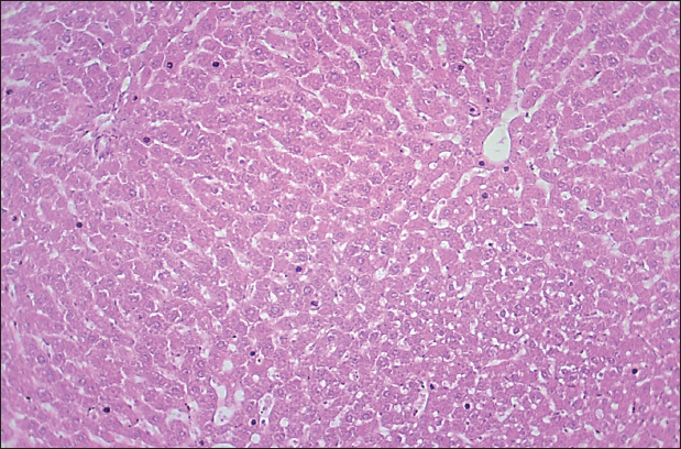
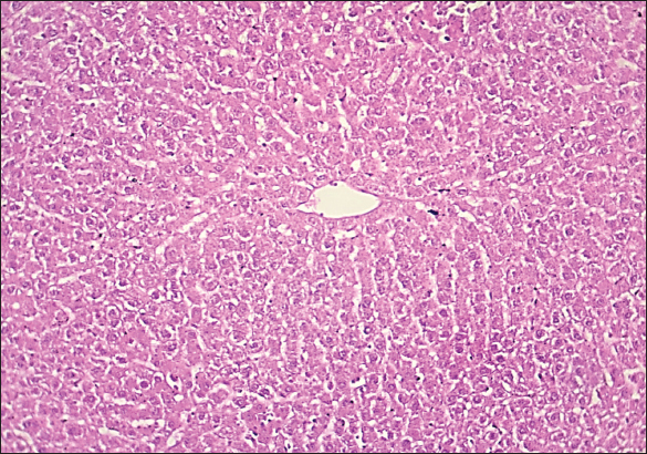
Fig. 1. Histological section of liver in rats of the control group. The section shows a normal histological structure for the hepatic sinusoid without any significant occupied lesion (H and E stain 100X).

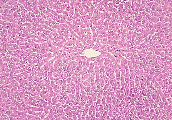
Fig. 2. Histological section of liver in rats drenched with 0.6 mg/kg citalopram and treated with 10 mg/kg J. regia pulp extract. The section shows the normal histological structure of hepatic tissue without any significant occupied lesion (H and E stain 100X).

Fig. 3. Histological section of liver in rats drenched with 0.6 mg/kg citalopram and treated with 20 mg/ kg J. regia pulp extract. The section shows the normal histological structure of hepatic tissue without any significant occupied lesion (H and E stain 100X).

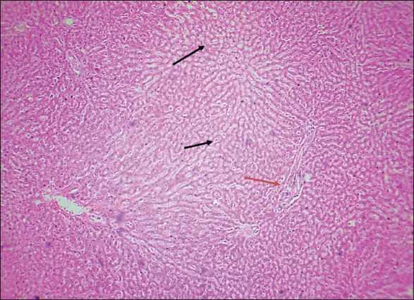
Fig. 4. Histological section of the liver of rats drenched with 0.6 mg/kg citalopram. The section shows a mild degenerative lesion (fatty degeneration, black arrows) with fibrous network formation in parenchyma (red arrow), (H and E stain 100X).

Fig. 5. Histological section of the liver of rats drenched with 0.6 mg/kg citalopram. The section shows a mild degenerative lesion (fatty degeneration, black arrows), (H and E stain 100X).

Fig. 6. Histological section of the liver of rats drenched with 0.6 mg/kg citalopram. The section shows a mild fatty degenerative lesion in hepatic tissue characterized by the infiltration of fat droplets inside hepatic cells, which give them a ring-shaped appearance due to pushing the nucleus on the side from the hepatic cells (black arrows). The section shows infiltration of structureless, homogenous, and pinkish material (amyloidosis, red arrow) (H and E stain 100X).

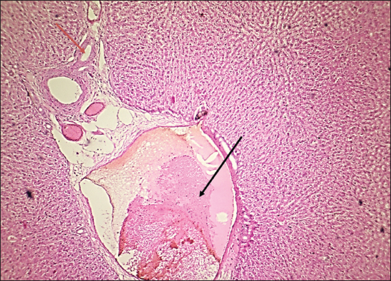
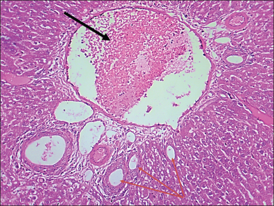
Fig. 7. Histological section of the liver of rats drenched with 0.6 mg/kg citalopram. The section shows clear hepatic vein congestion (black arrows) narrowing of the hepatic artery and arteriole diameter (red arrows) (H and E stain 400X).

Fig. 8. The histopathological section in the liver of rats drenched with 0.6 mg/kg citalopram. The section shows fat droplet accumulation in hepatocytes (fatty liver, black arrows) (H and E stain 100X).

Fig. 9. Histological section of rat liver drenched with 20 mg/kg J. regia pulp extract. The section shows clear hepatic vein congestion (black arrow) narrowing of the hepatic artery and arteriole diameter (red arrow) (H and E stain 400X).

There are five hypotheses to explain the negative effect of some drugs that cause liver damage, including drug interactions, drug metabolism, the hapten theory, inflammation, and the danger hypothesis (Andrade et al., 2019). Other researchers attribute the reason for hepatotoxicity that occurs with many drugs to the impairment of the liver structure and liver function, such as dysfunction of mitochondria, production of metabolites that cause hepatocellular structure and function, production of a reactive drug metabolite that binds with liver proteins to produce new antigenic drug–protein adducts which are targeted by hosts’ defenses, and initiation of a systemic hypersensitivity response that damages the liver (Andrade et al., 2019; Todorović Vukotić et al., 2021)

Many researchers attribute the health role of walnuts to the fact that they contain high levels of chemical compounds, have high antioxidant content, and are a good source of vitamin E and essential fatty acids (Zheng et al., 2020; Binici et al., 2021; Elouafy et al., 2022). Juglans regia extract has ellagic acid that is considered anti-inflammatory which is recorded in endothelial aorta, and they also have osteoblastic activity in the cell line KS483 (Jahanban-Esfahlan et al., 2019). Walnuts are an important source of vitamin E and essential fatty acids (Polat et al., 2023).

Prevention of oxidative stress and oxidation of biological macromolecules reduces the risk factors of cardiovascular diseases and degeneration (Senoner, and Dichtl, 2019; Dubois-Deruy et al., 2020; Izzo et al., 2021). The scavenging activity of phenolic materials against free radicals, in addition to anti-cancer activities, has been recorded by many researchers (Matulja et al., 2022; Suryani et al., 2022).


Conclusion

This study investigated the adverse effects of citalopram and the role of the crude ethanol extract of J. regia pulp in the enhancement of liver function in male rats. In conclusion, treatments with citalopram caused liver dysfunction at a dose of 0.6 mg/kg and liver tissue damage; whereas, J. regia pulp extracts have a protective role against liver tissue damage caused by citalopram at high and low doses.


Acknowledgments

The authors acknowledge the support provided by the College of Science (University of Wasit.

Conflict of interest

The authors declare no conflict of interest.

Funding

No external funds (private funds) were received.

Authors’ contributions

JMJ: Collection and extraction of J. regia pulp. ADL and AA: Experimental study and collection of blood samples. HAJG: Biochemical analysis of liver enzymes and statistical analysis of study data. All authors have read and approved the final copy of the manuscript.

Data availability

All data generated during the study are included in the manuscript.


References

Ahmadian, E., Eftekhari, A., Fard, J.K., Babaei, H., Nayebi, A.M., Mohammadnejad, D. and Eghbal, M.A. 2017. In vitro and in vivo evaluation of the mechanisms of citalopram-induced hepatotoxicity. Arch. Pharm. Res. 40, 1296–1313.

Al-Eodawee, E.M.M., Essa, I.M., Aggar, O.A. and Gharban, H.A.J. 2024. Molecular, hematological, and biochemical investigation of Trypanosoma spp. in sheep. Asian J. Dairy Food Res. 43(4), 736–742.

Andrade, R.J., Chalasani, N., Björnsson, E.S., Suzuki, A., Kullak-Ublick, G.A., Watkins, P. B. and Aithal, G.P. 2019. Drug-induced liver injury. Nat. Rev. Dis. Prim. 5(1), 58–71.

Binici, H.İ., Şat, İ.G. and Aoudeh, E. 2021. Nutritional composition and health benefits of walnut and its products. Atatürk Üni. Ziraat Fakül. Derg. 52(2), 224–230.

Chen, M., Suzuki, A., Borlak, J., Andrade, R.J. and Lucena, M.I. 2015. Drug-induced liver injury: interactions between drug properties and host factors. J. Hepatol. 63(2), 503–514.

Dubois-Deruy, E., Peugnet, V., Turkieh, A. and Pinet, F. 2020. Oxidative stress in cardiovascular diseases. Antioxidants 9(9), 864–879.

Edinoff, A.N., Akuly, H.A., Hanna, T.A., Ochoa, C.O., Patti, S.J., Ghaffar, Y.A. and Kaye, A.M. 2021. Selective serotonin reuptake inhibitors and adverse effects: a narrative review. Neurol. Int. 13(3), 387– 401.

Elouafy, Y., El Yadini, A., El Moudden, H., Harhar, H., Alshahrani, M.M., Awadh, A.A. and Tabyaoui, M. 2022. Influence of the extraction method on the quality and chemical composition of walnut (Juglans regia L) Oil. Molec. 27(22), 7681–7692.

Gartlehner, G., Gaynes, B.N., Hansen, R.A., Thieda, P., DeVeaugh-Geiss, A., Krebs, E.E. and Lohr, K.N. 2008. Comparative benefits and harms of second- generation antidepressants: background paper for the American College of Physicians. Ann. Intern. Med. 149(10), 734–750.

Gharban, H.A. and Yousif, A.A. 2020. Serological, clinical, and hematological prevalence of Coxiella burnetii in adult cows, Iraq. Biochem. Cell. Ach. 20(1), 67–74.

Gowda, S., Desai, P.B., Hull, V.V., Math, A.A., Vernekar, S.N. and Kulkarni, S.S. 2009. A review of laboratory liver function tests. Pan Afr. Med. J. 3, 1–17.

Hussen, T.J., Al-Shaeli, S.J.J., Al-Mahna, B.H.R. and Gharban, H.A.J. 2024. Biochemical and histological effects of long-term administration of estrogen on female mice. Adv. Anim. Vet. Sci. 12(8), 1563–1572.

Ilgın, S., Dağaşan, F., Dönmez, D.B., Baysal, M. and Eklioğlu, Ö.A. 2020. Evaluation of the hepatotoxic potential of citalopram in rats. Istanbul J. Pharm. 50(3), 188–194.

Izzo, C., Vitillo, P., Di Pietro, P., Visco, V., Strianese, A., Virtuoso, N. and Vecchione, C. 2021. The role of oxidative stress in cardiovascular aging and cardiovascular diseases. Life 11(1), 60–69.

Jahanban-Esfahlan, A., Ostadrahimi, A., Tabibiazar, M. and Amarowicz, R. 2019. A comparative review on the extraction, antioxidant content, and antioxidant potential of different parts of walnut (Juglans regia L.) fruit and tree. Molecules 24(11), 2133–2148.

Jiang, A., Wei, C., Zhu, W., Wu, F. and Wu, B. 2024. Adverse event profiles of drug-induced liver injury caused by antidepressant use: a disproportionality analysis. Ther. Adv. Drug Saf. 15, 1–16.

Lee, M. 2009. Basic skills in interpreting Laboratory Data. Fourth Edition. MD: American Society of Health-System Pharmacists, p: 470.

Luong, T.L.T., Powers, C. Reinhardt, B.J. and Weina, P.J. 2022. Pre-clinical drug-drug interactions (DDIs) of gefitinib with/without losartan and selective serotonin reuptake inhibitors (SSRIs): citalopram, fluoxetine, fluvoxamine, paroxetine, sertraline, and venlafaxine. Curr. Res. Pharmacol. Drug Disc. 3, 100112.

Matulja, D., Vranješević, F., Kolympadi Markovic, M., Pavelić, South K. and Marković, D. 2022. Anticancer activities of marine-derived phenolic compounds and their derivatives. Molec. 27(4), 1449–1458.

Mohajan, H.K. 2025. A study on functions of liver to sustain a healthy liver. Innov. Sci. Technol. 4(1), 77–87.

Ozougwa, J.C. and Eyo, J.E. 2014. Hepatoprotective effects of Allium cepa (onion) extracts against paracetamol-induced liver damage in rats. Afr. J. Biotechnol. 13(26), 1–11.

Patel, A. and Patel, R. 2023. Pharmacokinetics and drug disposition: the role of physiological and biochemical factors in drug absorption and elimination. J. Appl. Optics. 44(1), 48–67.

Polat, Y., Çelik, F. and Kafkas, E. 2023. The importance of fattyacids in nuts in terms of human health. Üniv. Ziraat Fakül. Derg. 3(2), 313–338.

Prince, O., Benjamin, A., Constance, N., Ezekwe, A., Nchekwube, O., Chimaraoke, O. and Kalu, W. 2020. Proximate nutrient potential, phytochemical screening, and vitamin B-composition of Pleurotus ostreatus cultivated using a substrate organic supplementation technique. Asian J. Res. Bot. 4(4), 138–146.

Senoner, T. and Dichtl, West 2019. Oxidative stress in cardiovascular diseases: a therapeutic target?. Nutrients 11(9), 1–14.

Shojaie, L., Iorga, A. and Dara, L. 2020. Cell death in liver diseases: a review. Int. J. Mol. Sci. 21(24), 9682–9692.

Stroup, T.S. and Gray, N. 2018. Management of common adverse effects of antipsychotic medications. World Psychiatry. 17(3), 341–356.

Suryani, R., Daradwinta, R., Az-Zahra, S., Rahmah, S.A., Rizal, W.A., Jatmiko, T.H. and Purwestri, Y.A. 2022. Antioxidant activity, total phenolic content, and chemical composition of liquid smoke derived from wood sawdust. Biol. Sci. 2(2021), 634–639.

Todorović, Vukotić, N., Đorđević, J., Pejić, S., Đorđević, N. and Pajović, S.B. 2021. Antidepressant- and antipsychotic-induced hepatotoxicity. Arch. Toxicol. 95, 767–789.

Ullah, S., Rahman, K. and Hedayati, M. 2016. Hyperbilirubinemia in neonates: types, causes, clinical examinations, preventive measures, and treatments: a narrative review article. Iran. J. Public Health 45(5), 558–567.

Voican, C.S., Corruble, E., Naveau, S. and Perlemuter, G. 2014. Antidepressant-induced liver injury: a review for clinicians. Am. J. Psychiatry 171(4), 404–415.

Wahab, B.A.A., Merah, M.H., Latif, A.D. and Gharban, H.A. 2024. Alternative therapeutic approach to ovine subclinical mastitis using the ethanolic root extract of Capparis spinosa. Open Vet. J. 14(3), 814–821.

Zheng, Y., Wu, South, Wang, R., Wu, Y., Zhang, West, Han, Y. and Liu, Y. 2020. Analysis and correlationship of chemical components of various walnut (Juglans regia L) cultivars. J. Food Meas. Character. 14, 3605–3614.



How to Cite this Article
Pubmed Style

Jiheel MJ, Latif AD, Qushawi AA, Gharban HAJ. Protective role of alcoholic extract of Juglans regia pulp in reducing the adverse effects of citalopram in the liver of male rats. Open Vet. J.. 2025; 15(6): 2693-2702. doi:10.5455/OVJ.2025.v15.i6.38


Web Style

Jiheel MJ, Latif AD, Qushawi AA, Gharban HAJ. Protective role of alcoholic extract of Juglans regia pulp in reducing the adverse effects of citalopram in the liver of male rats. https://www.openveterinaryjournal.com/?mno=245373 [Access: December 10, 2025]. doi:10.5455/OVJ.2025.v15.i6.38


AMA (American Medical Association) Style

Jiheel MJ, Latif AD, Qushawi AA, Gharban HAJ. Protective role of alcoholic extract of Juglans regia pulp in reducing the adverse effects of citalopram in the liver of male rats. Open Vet. J.. 2025; 15(6): 2693-2702. doi:10.5455/OVJ.2025.v15.i6.38



Vancouver/ICMJE Style

Jiheel MJ, Latif AD, Qushawi AA, Gharban HAJ. Protective role of alcoholic extract of Juglans regia pulp in reducing the adverse effects of citalopram in the liver of male rats. Open Vet. J.. (2025), [cited December 10, 2025]; 15(6): 2693-2702. doi:10.5455/OVJ.2025.v15.i6.38



Harvard Style

Jiheel, M. J., Latif, . A. D., Qushawi, . A. A. & Gharban, . H. A. J. (2025) Protective role of alcoholic extract of Juglans regia pulp in reducing the adverse effects of citalopram in the liver of male rats. Open Vet. J., 15 (6), 2693-2702. doi:10.5455/OVJ.2025.v15.i6.38



Turabian Style

Jiheel, Mutashar Jaddoa, Ahmed Dhahir Latif, Alwan Al Qushawi, and Hasanain A. J. Gharban. 2025. Protective role of alcoholic extract of Juglans regia pulp in reducing the adverse effects of citalopram in the liver of male rats. Open Veterinary Journal, 15 (6), 2693-2702. doi:10.5455/OVJ.2025.v15.i6.38



Chicago Style

Jiheel, Mutashar Jaddoa, Ahmed Dhahir Latif, Alwan Al Qushawi, and Hasanain A. J. Gharban. "Protective role of alcoholic extract of Juglans regia pulp in reducing the adverse effects of citalopram in the liver of male rats." Open Veterinary Journal 15 (2025), 2693-2702. doi:10.5455/OVJ.2025.v15.i6.38



MLA (The Modern Language Association) Style

Jiheel, Mutashar Jaddoa, Ahmed Dhahir Latif, Alwan Al Qushawi, and Hasanain A. J. Gharban. "Protective role of alcoholic extract of Juglans regia pulp in reducing the adverse effects of citalopram in the liver of male rats." Open Veterinary Journal 15.6 (2025), 2693-2702. Print. doi:10.5455/OVJ.2025.v15.i6.38



APA (American Psychological Association) Style

Jiheel, M. J., Latif, . A. D., Qushawi, . A. A. & Gharban, . H. A. J. (2025) Protective role of alcoholic extract of Juglans regia pulp in reducing the adverse effects of citalopram in the liver of male rats. Open Veterinary Journal, 15 (6), 2693-2702. doi:10.5455/OVJ.2025.v15.i6.38