E-ISSN 2218-6050 | ISSN 2226-4485
 

Research Article


Open Veterinary Journal, (2025), Vol. 15(4): 1585-1592

Research Article

10.5455/OVJ.2025.v15.i4.9

Antioxidant and protective effects of methanolic Solanum nigrum leaf extract against CCl4-induced hepatotoxicity and renotoxicity in albino rats

Taher Issa Shailabi1*, Ahmed Saeed Kabbashi2, Osama Hussein Aldeeb3, Eman Salah Basheer1, Rehab Aeyad Gumaa1, Ebtihal Jebriel Younes1, Retaj Fawzi Mohammed1 and Amar Mohamed Ismail2

1Department of Pharmacology and Toxicology, Faculty of Pharmacy, Omar Al-Mukhtar University, Al-Bayda, Libya

2Department of Biomedical Science, Faculty of Pharmacy, Omar Al-Mukhtar University, Al-Bayda, Libya

3Department of Biochemistry, Faculty of Medicine, Omar Al-Mukhtar University, Al-Bayda, Libya

*Corresponding Author: Taher Issa Shailabi. Department of Pharmacology and Toxicology, Faculty of Pharmacy, Omar Al-Mukhtar University, Al-Bayda, Libya. Email: taher.mahmoud2014 [at] gmail.com and taher.issa [at] omu.edu.ly

Submitted: 20/11/2024 Accepted: 14/03/2025 Published: 30/04/2025


Abstract

Background: There is growing interest in natural antioxidants, particularly Solanum nigrum (S. nigrum), because of their potential to protect against oxidative stress-induced organ damage and their intriguing historical use in treating various medical conditions.

Aim: This pioneering study examined the unique antioxidant, hepatoprotective, and renoprotective effects of S. nigrum methanolic leaf extract on carbon tetrachloride (CCl4)-induced toxicity in albino rats.

Methods: Thirty albino rats (100–120 g) were used. The 2.2 di-(4-tretoctylphenyl)-1-picrylhydrazyl radical scavenging assay was used to evaluate the antioxidant properties of S. nigrum extract. This study examined the protective effects of 150 and 300 mg/kg leaf extract against CCl4-induced toxicity. Body weight, hematological markers, and kidney and liver function were assessed. Histological analysis of liver and kidney tissue was performed.

Results: The radical scavenging activity of S. nigrum was a remarkable 85.02 ± 0.01 RSA%, compared to 66.83 ± 0.02 RSA% for gallic acid, with IC50 values of 58.3 and 1.22 μg/ml, respectively. Solanum nigrum treatment significantly decreased alanine transaminase and aspartate transaminase activities relative to CCl4-induced toxicity, a finding of significance in pharmacology and toxicology.

Conclusion: The S. nigrum methanolic extract has an IC50 value of 58.3 μg/ml, demonstrating potent natural antioxidant properties that mitigate hepatotoxicity and renotoxicity induced by CCl4.

Keywords: Antioxidant, Hepatoprotective, S. nigrum leaf, Methanolic extract, Albino rats.


Introduction

Liver and kidney disorders significantly threaten human health and pose significant global public health challenges (Cai et al., 2019). Their widespread prevalence and impact complicate medical interventions and often render them ineffective (Alshawsh, 2013). Medications and environmental toxins are primarily countered by the liver and kidneys, which serve as protective barriers (Akinwumi et al., 2024). Hepatotoxicity and renotoxicity are influenced by several primary factors, including dietary additives, alcoholic beverages, toxic substances, medicinal drugs, and environmental contaminants (Melaram, 2021). This situation has sparked increased attention to alternative and complementary treatment approaches. Herbal remedies, with their potential protective effects, could be a reassuring addition to the arsenal against toxicity (Ali et al., 2019).

Plants have been reported to have significant therapeutic potential in protecting against the oxidative stress, cell injury, and necrosis-associated effects of exposure on toxins and pollutants. Reactive oxygen species (ROS) play a crucial role in pathological changes that lead to hepatocellular and exocellular damage (Allameh et al., 2023). Free radicals, particularly ROS like hydroxyl radicals and hydrogen peroxide, cause tissue damage and contribute to various diseases through lipid peroxidation and DNA mutations. Antioxidant-rich herbal remedies can effectively prevent this cellular damage and offer protection against these diseases (Jomova et al., 2023; Ifeanyi, 2018). Human exposure to CCl4 can occur through inhalation, ingestion, and skin contact. The metabolic activation of CCl4 leads to harmful free radicals, which cause lipid peroxidation, oxidative stress, and cellular damage, resulting in liver conditions such as necrosis, steatosis, fibrosis, and cirrhosis. In addition, CCl4 affects the kidneys, causing acute tubular necrosis and decreased glomerular mass (Eze and Akonoafua, 2019).

Herbal remedies have been used in traditional medicine for centuries. Current scientific research has examined the safety and efficacy of plant-derived therapies, particularly their hepatoprotective and renoprotective effects. Recent laboratory and animal studies have indicated that plant-based antioxidants, particularly flavonoids and phenolic compounds, effectively prevent cellular damage (Liu et al., 2016). Solanum nigrum, the largest genus of Solanaceae, is prevalent in subtropical and tropical regions of Africa, Australia, and parts of Asia, including China, India, and Japan. Studies of Solanum species have identified compounds such as steroidal saponins, alkaloids, terpenes, flavonoids, lignans, sterols, phenolic compounds, and coumarins. Solanum nigrum is traditionally used for various health issues, including pneumonia, tooth pain, stomach discomfort, tonsillitis, intestinal parasites, and general malaise. It possesses antioxidant, antiulcer, anticancer, hepatoprotective, diuretic, and antipyretic properties. This study aimed to investigate S. nigrum’s antioxidant potential and its protective effects against CCL4-induced liver and kidney toxicity in albino rats.


Materials and methods

Chemicals and reagents

Oxford Lab Fine Chem LLP (India) sells carbon tetrachloride (CCl4). Liquid paraffin (Oxford Lab Fine Chem LLP, India), Formalin (Novochem Engineering, India), the standard drug Silymarin (Sigma-Aldrich), ethanol (SIGMA-ALDRICH, Germany), Xylene (Scien TEST-bioKEMIX GmbH, Germany), kits for liver enzymes and renal parameters (Humana, Germany), 2.2 di-(4-tretoctylphenyl)-1-picrylhydrazyl (DPPH) (Chemos GmbH & Co. KG. Germany), and Hematoxylin and Eosin (H&E) (Santa Cruz Biotechnology, Inc., USA).

Collection and authentication of plants

The S. nigrum plant was sourced from a local farm in Al-Wasita, north of Al-Bayda, Libya, in June 2024. The taxonomy section of the Botany Department at the University of Omar Al-Mukhtar authenticated this plant. After collection, the plants were segregated, washed, and dried in the shade at room temperature. The dried leaves were ground into powder using a mechanical herb grinder.

Methanolic crude extract

The extraction process followed that of Arunachalam et al. (2009), with some modifications. Powdered S. nigrum leaves (50 g) were macerated in 250 ml of absolute methanol for 72 hours with shaking at room temperature. The extract was filtered, evaporated to dryness at room temperature, and stored in an airtight glass container at 4Â °, C.

Antioxidant activity (DPPH-assay)

Antioxidant activity was assessed using the stable radical DPPH because of its hydrogen-donating or free radical-scavenging ability, with slight modifications from Shimada et al. (1992). The DPPH radicals were converted to purple diphenyl-picrylhydrazine. Extracts and standards were added to microplate wells containing DPPH and incubated at 37°C for 30 minutes while maintaining the DPPH concentration at 300 mM. The reduction in absorbance at 517 nm was measured using a spectrophotometer (ELISA reader). The antioxidant activity was calculated using the following formula:

𝐃𝐏𝐏𝐇 𝐫𝐚𝐝𝐢𝐜𝐚𝐥 𝐬𝐜𝐚𝐯𝐞𝐧𝐠𝐢𝐧𝐠 (%)=𝟏𝟎𝟎 - {(𝐀𝐜 - 𝐀𝐭)/𝐀𝐜} × 𝟏𝟎𝟎

where At=Absorbance value of test compound; Ac=Absorbance value of the control.

Ethical approval

The Libyan National Committee for Biosafety and Bioethics, specifically the Al-Mukhtar Bioethics Committee, approved this study on July 28, 2024 (reference number NBC 007. A. 24. 20).

Experimental animals

The study used 30 albino rats weighing 100–120 g. The rats were housed in standard cages at room temperature with a 12-hour light-dark cycle. They were acclimatized to the laboratory environment for at least 1 week and had free access to standard pellet food and tap water. The rats were divided into five groups for the experiment: Group I (negative control) received no treatment, Group II (positive control) was administered 0.5 ml/kg of a 50% v/v CCl4 solution in olive oil via intraperitoneal injection twice a week for 14 days, Groups III (low dose) and IV (high dose) received an oral extract of S. nigrum at doses of 150 mg/kg/day and 300 mg/kg/day, respectively, for 14 days, followed by intraperitoneal injection of CCl4, and Group V (Silymarin control) was given silymarin (5 mg/kg) orally for 14 days, followed by CCl4 treatment (Sahreen et al., 2011; Wang et al., 2018).

Ethical approval and anesthesia

This study was approved by the Animal Ethics Committee of Omar Al-Mukhtar University. The protocol adhered to the guidelines set by the U.S. National Institutes of Health and the Declaration of Helsinki for the ethical treatment of animals. After an 18-hour overnight fast, rats were anesthetized with 1.9% diethyl ether in a closed chamber via inhalation. Blood samples were collected via cardiac puncture, and rats were then euthanized to collect liver and kidney tissue samples. Liver and kidney tissue were examined histologically, and blood samples were centrifuged at 3,000 rpm to obtain serum. Tissue specimens were processed, embedded in paraffin, sectioned, and stained with H&E for histopathological examination. Biochemical parameters were determined using serum samples.

Statistical analysis

The data analysis was conducted using SPSS version 21.0. Results are presented as mean ± standard error of the mean (SEM) and percentage (%). Independent t-tests and analysis of variance were used to compare group means, with statistical significance set at p ≤ 0.05.


Results

Antioxidant activity of S. nigrum extract

The DPPH radical scavenging assay revealed that at a concentration of 500 g/ml, S. nigrum extract exhibited superior antioxidant properties (79.07 ± 0.03 RSA%) compared with gallic acid (66.83 ± 0.02 RSA%). The IC50 values were (58.3 μg/ml) and (1.22 μg/ml) respectively. At a lower concentration of 62.5 g/ml, the extract demonstrated antioxidant activity of (54.27 ± 0.03 RSA %), whereas gallic acid showed (61.59 ± 0.02 RSA%). These key findings, summarized in Table 1, confirm the higher antioxidant activity of S. nigrum extract than that of gallic acid.

Hepatoprotective activity of the S. nigrum extract

Effects of S. nigrum extract on body weight, changes in body weight, and absolute and relative liver weight

The group treated with CCl4 experienced a significant reduction in body weight, losing 7.29% compared with the control group, which lost 11.46%. In contrast, the groups treated with 150 mg/kg, 300 mg/kg S. nigrum, and silymarin displayed noteworthy increases in body weight, with gains of 17.0%, 15.24%, and 22.2%, respectively. In addition, no significant differences were observed in the relative liver weights among the experimental groups (Table 2 and Fig. 1).

Table 1. Percentage radical scavenging activity (RSA%) and IC50 (mg/ml) of the methanolic extract of S. nigrum leaves.

Table 2. Effects of S. nigrum extract on body weight, change in body weight (g), body weight, and relative liver weight in CCl4-induced hepatotoxicity.

Fig. 1. Effect of S. nigrum extract on body weight gain (%) in the study groups.

Table 3. Comparison of biochemical parameter levels (Mean ± SEM) in study groups.

Effects of S. nigrum extract on biochemical markers

Biochemical parameters were examined meticulously to assess the protective effects of S. nigrum extract against CCl4-induced hepatotoxicity and genotoxicity. The results, which indicated a significant increase in alanine transaminase (ALT) and aspartate transaminase (AST) activities in the CCl4-treated group compared with the control group, were a testament to our thorough research process. The administration of 150, 300, and silymarin significantly decreased ALT and AST activities relative to those in the CCl4-treated group, further validating our approach. The experimental groups showed no notable differences in urea, Blood Urea Nitrogen (BUN), creatine, albumin, or bilirubin levels, thereby reinforcing the confidence in our results (Table 3 and Fig. 2).

Histopathological findings of S. nigrum extract

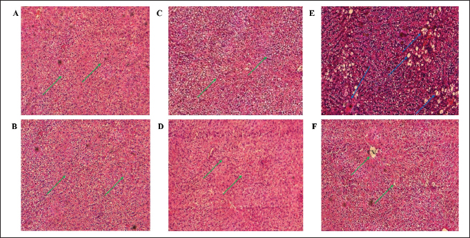
This study, which relied on histological analysis, has provided liable evidence of the protective effect of S. nigrum against CCl4-induced liver damage. The results show that both low and high concentrations of S. nigrum exert protective effects against hepatotoxicity. Despite CCl4 administration, the groups treated with low and high doses of the S. nigrum extract and silymarin did not experience fatty liver hepatocyte damage (Fig. 3A–F).

Our findings have significant practical implications for the scientific community. The study, which evaluated the protective effects of S. nigrum against kidney damage induced by CCl4, demonstrated that both low and high concentrations of S. nigrum were effective in protecting against renotoxicity. This suggests that S. nigrum is a potential therapeutic agent for kidney damage. The groups treated with low and high doses of the S. nigrum extract or silymarin did not show signs of nephron damage or increased glomerular mass following CCl4 administration (Fig. 4A–F).


Discussion

Solanum nigrum is commonly used in Africa to treat infant mortality-related conditions, such as fever-induced seizures, hydrophobia, and skin issues (Rani et al., 2017). This study examined the antioxidant, hepatoprotective, and renoprotective effects of methanolic S. nigrum leaf extract against CCl4-induced liver and kidney toxicity in rats. These results indicate that S. nigrum extract protects against CCl4-induced liver damage, primarily because of its antioxidant constituents, mainly phenolic compounds, which protect cells from damage (Sevgi et al., 2015). The antioxidant properties of S. nigrum methanolic extracts were assessed using the DPPH assay, which revealed a more potent free radical scavenging ability and lower IC50 value of gallic acid. This aligns with previous studies that identified compounds such as carotenoids, phenolics, flavonoids, and tannins as contributors to the antioxidant activity of S. nigrum (Hameed et al., 2017; Mukhopadhyay et al., 2018; Uka et al., 2020; Mani et al., 2022). Plant-based products have been shown to protect against and reduce damage from chemicals in the liver and kidneys (Guan and He, 2015). A previous study found superior antioxidant performance when S. nigrum leaf treatment was administered after stress (Mukhopadhyay et al., 2018). Another study revealed that 50% ethanol extract of the whole S. nigrum plant exhibited hydroxyl radical scavenging potential, suggesting a cytoprotective mechanism (Zaghlool et al., 2019).

Oxidative stress is associated with numerous health problems, including atherosclerosis, ischemic reperfusion injury, inflammation, cancer, aging, and neurological disorders. Although these conditions have various causes, research indicates that ROS can cause biological damage, potentially initiating or worsening these diseases (Waris and Ahsan, 2006; Newsholme et al., 2016). Aerobic organisms encounter lethal challenges from ROS, which are integral to plant communication (Mansoor et al., 2022). Plants synthesize polyphenols as a defense mechanism against stress (Tuladhar et al., 2021). Researchers are exploring the health benefits of natural substances and food antioxidants that may protect against ROS-induced oxidative damage (Carresi et al., 2018).

Fig. 2. Comparison of liver ALT, AST, GGT, and ALP activities in study groups. Untreated (negative control), CCl4 only (positive control), Silymarin+CCl4 (silymarin control), 150 mg/kg (low dose), and 300 mg/kg (high dose).

Fig. 3. Histological sections of the liver in the A and B groups: negative control, C: low-dose, D: high-dose, E: positive control, and F: silymarin control groups. The blue and green arrows indicate abnormal liver cells and normal hepatocytes, respectively.

Fig. 4. Histological sections of the kidneys in the A and B: negative control, C: low-dose, D: high-dose, E: positive control, and F: silymarin control groups. The blue and green arrows indicate abnormal kidney and normal renal cells, respectively.

The enzyme activity was significantly higher in the CCl4-treated group than in the control group, indicating liver and kidney cell damage. However, S. nigrum administration at both doses significantly reduced ALT and AST activities, whereas GGT and ALT activities remained unchanged after 14 days. This study revealed that S. nigrum extract protects against CCl4-induced liver and kidney damage. Microscopic analysis confirmed these protective effects, revealing the presence of normal liver cells in the S. nigrum-treated group. In contrast, the CCl4 group exhibited fatty liver, cell death, abnormal growth, infiltration, inflammation, reduced glomerular mass, and tubular cell death in the kidney sections. Studies in albino rats have indicated that S. nigrum leaves protect the liver and kidneys from CCl4-induced damage (Elhag et al., 2011; Elshater et al., 2013; Krithika and Verma, 2018; Salman et al., 2018; Krithika and Verma, 2019). In addition, Ozturk et al. (2003) demonstrated that CCl4 induces nephrotoxicity by increasing superoxide dismutase and catalase (Ozturk et al., 2003). The aqueous and methanolic extracts of S. nigrum significantly reduced serum AST, ALT, ALP, and bilirubin levels in treated subjects compared with the untreated group (Elhag et al., 2011). Similarly, the ethanol extract showed significant liver-protective effects, as demonstrated by biochemical markers, such as serum AST, ALT, and bilirubin levels, as well as histopathological assessments (Liu et al., 2016). Plants offer protective benefits owing to the antioxidant properties of their phenolic compounds, phenols, and tannins (Kabbashi et al., 2024). In addition, S. nigrum inhibits 2-acetylaminofluorene-induced hepatocarcinogenesis, which is linked to increased expression of glutathione S-transferase-alpha, glutathione peroxidase, superoxide dismutase-1, and catalase (Supraja et al., 2022; Akinwumi et al., 2024).

This study has several limitations, including the lack of measurement of ammonia, acute inflammation indicators, and antioxidant enzymes, which are crucial for understanding how S. nigrum protects liver and kidney cells. In addition, the lack of clinical data hinders the corroboration of these findings.


Conclusion

Our study investigated the antioxidant, hepatoprotective, and renoprotective effects of S. nigrum leaf extract against CCl4-induced toxicity. The results demonstrated that S. nigrum exhibits antioxidant activity and protects against CCl4-induced hepatotoxicity and renotoxicity. The IC50 of S. nigrum extract is 58.3 μg/ml. S. nigrum leaf extract significantly reduces ALT and AST activities, and mitigates hepatocyte and nephron damage induced by CCl4 exposure. These findings underscore the potential of S. nigrum as a safe, effective, and promising natural herbal medicine. Further research is needed to fully understand the mechanisms by which S. nigrum protects against cellular damage.


Acknowledgments

None.

Conflict of interest

The authors declare no conflict of interest.

Funding

None.

Authors contributions

Conceptualization, T.I.S., A.S.K., E.S.B., R.A.G., E.J.Y., R.F.M., and A.M.I.; proposed and designed compounds, T.I.S., A.S.K., E.S.B., R.A.G., E.J.Y., R.F.M., and A.M.I.; conducting experiments, A.S.K., and T.I.S.; writing-original draft preparation, A.M.I, T.I.S., O.H.A., and A.S.K.; writing-review and editing, A.S.K., T.I.S., O.H.A., and A.M.I. All authors have reviewed and approved this study.

Data availability

The data used in this study are available in the manuscript.


References

Alshawsh, M.A.M. 2013. Hepatoprotective, immunomodulatory and antibacterial effects of selected Malaysian medicinal plant extracts. Malaysia: University of Malaya.

Akinwumi , K.A., Eleyowo, O.O., Odesola, K.A., Adegboyega, A.M., Okon-Ben, V.M. and Onapelumi, A.T. 2024. Ethanol leaf extract of Acrostichum aureum modifies carbon tetrachloride-induced oxidative stress and hepato-renal damage in rats. Trop. J. Nat. Prod. Res. 87388-7396..

Ali, S.A., Sharief, N.H. and Mohamed, Y.S. 2019. Hepatoprotective activity of some medicinal plants in Sudan. Evid. Based Complem. Altern. Med. 2019, 1 -16.

Arunachalam, G., Subramanian, N., Pazhani, G.P., Karunanithi, M. and Ravichandran, V. 2009. Evaluation of anti-inflammatory activity of methanolic extractof Solanum nigrum (Solanaceae): anti-inflammatory effect of Solanum nigrum Linn extract. Iran. J. Pharm. Sci. 5, 151–156.

Cai, J., Zhang, X.J. and Li, H. 2019. Progress and challenges in the prevention and control of nonalcoholic fatty liver disease. Med. Res. Rev. 39(1), 328–348.

Carresi, C., Musolino, V., Gliozzi, M., Maiuolo, J., Mollace, R., Nucera, S., Maretta, A., Sergi, D., Muscoli, S. and Gratteri, S. 2018. Antioxidant effect of bergamot polyphenolic fraction counteracts doxorubicin-induced cardiomyopathy: role of autophagy and c-kitposCD45negCD31neg cardiac stem cell activation. J. Mol. Cell. Cardiol. 119, 10–18.

Elhag, R., El Badwi, S., Bakhiet, A. and Galal, M. 2011. Hepatoprotective activity of Solanum nigrum extracts on chemically induced liver damage in rats. J. Vet. Med. Anim. Health. 3, 45–50.

Elshater, A.E.A., Salman, M.M.A. and Mohamed, S.A. 2013. The hepato-ameliorating effect of Solanum nigrum against CCL4 induced liver toxicity in Albino rats. Acad. J. Biol. Sci. C Physiol. Mol. Biol. 5, 59–66.

Eze, G.I. and Akonoafua, K.A. 2019. Effects of ethanol leaf extract of Lawsonia inermis Linn. on carbon tetrachloride-induced liver injury in adult Wistar rats. Trop. J. Natl. Prod. Res. 3(8).

Guan, Y.S. and He, Q. 2015. Plants consumption and liver health. J. Evid. Based Complementary Altern. Med. 2015, 824185.

Hameed, I.H., Cotos, M.R.C. and Hadi, M.Y. 2017. A review: Solanum nigrum L. antimicrobial, antioxidant properties, hepatoprotective effects,, and analysis of bioactive natural compounds. Res. J. Pharm. Technol. 10, 4063–4068.

Jomova, K., Raptova, R., Alomar, S.Y., Alwasel, S.H., Nepovimova, E., Kuca, K. and Valko, M. 2023. Reactive oxygen species, toxicity, oxidative stress, and antioxidants: chronic diseases and aging. Arch. Toxicol. 97(10), 2499 -2574.

Kabbashi, A.S., Eltawaty, S.A., Ismail, A.M., Elshikh, A.A., Alrasheid, A.A., Elmahi, R.A., Koko, W.S. and Osman, E.E. 2024. Ethanolic extract of Mangifera indica protects against CCl4-induced hepatotoxicity via antioxidant capabilities in Albino rats. J. Toxicol. 2024, 5539386.

Ifeanyi, O.E. 2018. A review on free radicals and antioxidants. Int. J. Curr. Res. Med. Sci, 4(2), 123 -133.

Jomova, K., Raptova, R., Alomar, S.Y., Alwasel, S.H., Nepovimova, E., Kuca, K. and Valko, M. 2023. Reactive oxygen species, toxicity, oxidative stress, and antioxidants: chronic diseases and aging. Arch. Toxicol. 97(10), 2499 -2574.

Krithika, R. and Verma, R.J. 2018. Hypolipidemic and hypoglycemic effects of hydroalcoholic extract of Solanum nigrum Linn. in CCl4-induced hepatotoxicity in mice. Toxicol. Environ. Health Sci. 10, 268–277.

Krithika, R. and Verma, R.J. 2019. Solanum nigrum confers protection against CCl4-induced experimental hepatotoxicity by increasing hepatic protein synthesis and regulation of energy metabolism. Clin. Phytosci. 5, 1–8.

Liu, F.P., Ma, X., Li, M.M., Li, Z., Han, Q., Li, R., Li, C.W., Chang, Y.C., Zhao, C.W. and Lin, Y.X. 2016. Hepatoprotective effects of Solanum nigrum against ethanol-induced injury in primary hepatocytes and mice with analysis of glutathione S-transferase A1. J. Chin. Med. Assoc. 79, 65–71.

Mani , R.K., Paramashree, J., Bharathi, D. and Ahmed, S. 2022. The traditional and pharmacological properties of Solanum nigrum: a review. Int. J.

Mansoor, S., Ali Wani, O., Lone, J.K., Manhas, S., Kour, N., Alam, P., Ahmad, A. and Ahmad, P. 2022. Reactive oxygen species in plants: from source to sink. Antioxidants 11, 225.

Melaram, R. 2021. Environmental risk factors implicated in liver disease: a mini-review. Front. Public Health 9, 1 -7.

Mukhopadhyay, G., Sarkar, S., Kundu, S., Kundu, S., Sarkar, P., Sarkar, S., Sengupta, R., Kumar, C., Mitra, S. and Jain, D. 2018. Ethnopharmacological activity of Solanum nigrum. J. Pharm. Innov. 7, 692–698.

Newsholme, P., Cruzat, V.F., Keane, K.N., Carlessi, R. and De Bittencourt Jr, P.I.H. 2016. Molecular mechanisms of ROS production and oxidative stress in diabetes. Biochem. J. 473, 4527–4550.

Ozturk, F., Ucar, M., Ozturk, I.C., Vardi, N. and Batcioglu, K. 2003. Carbontetrachloride–induced nephrotoxicity and protective effects of betaine in Sprague-Dawley rats. Urology 62, 353–356.

Rani, Y.S., Reddy, V.J., Basha, S.J., Koshma, M., Hanumanthu, G. and Swaroopa, P. 2017. A review on Solanum nigrum. World J. Pharm. Pharm. Sci. 6, 293–303.

Salman, S., Sher, R., Kamran, S. and Manzoor, A. 2018. Hepatoprotective effect of Solanum nigrum leave diethyl ether extract on liver ccl4 toxicity. Pak. J. Pharm. 30. 17-21.

Sevgi, K., Tepe, B. and Sarikurkcu, C. 2015. Antioxidant and DNA damage protection potentials of selected phenolic acids. Food Chem. Toxicol. 77, 12–21.

Shimada, K., Fujikawa, K., Yahara, K. and Nakamura, T. 1992. Antioxidative properties of xanthan on the autoxidation of soybean oil in cyclodextrin emulsion. J. Agric. Food Chem. 40, 945–948.

Supraja, G., Maheswari, K.C., Pamarthy, D. and Saritha, K.V.R. 2022. Phytochemicals for hepatocellular carcinoma therapy: from in vitro to clinic. Thera. Precision Medi. Manag. Hepato. Carcin. 3, 109–132.

Tuladhar, P., Sasidharan, S. and Saudagar, P. 2021. Role of phenols and polyphenols in plant defense response to biotic and abiotic stresses. In Jogaiah, S. editors. Biocontrol agents and secondary metabolites Darya Ganj, Delhi: Woodhead Publishing. pp. 419-441.

Uka, E., Etim, O.E., Effiong, A.O. and Jacobs, I.E. 2020. Phytochemicals, acute toxicity and in-vitro antioxidant activity of ethanol extract of Sphenocentrum jollyanum leaves. J. Drugs Pharm. Sci. 4, 10–20.

Waris, G. and Ahsan, H. 2006. Reactive oxygen species: role in the development of cancer and various chronic conditions. J. Carcinogr. 5, 14.

Zaghlool, S.S., Abo-Seif, A.A., Rabeh, M.A., Abdelmohsen, U.R. and Messiha, B.A., 2019. Gastro-protective and anti-oxidant potential of Althaea officinalis and solanum nigrum on pyloric ligation/indomethacin-induced ulceration in rats. Antioxidants 8, 512.



How to Cite this Article
Pubmed Style

Shailabi TI, Kabbashi AS, Aldeeb OH, Basheer ES, Gumaa RA, Younes EJ, Mohammed RF, Ismail AM. Antioxidant and protective effects of methanolic Solanum nigrum leaf extract against CCl4-induced hepatotoxicity and renotoxicity in albino rats. Open Vet. J.. 2025; 15(4): 1585-1592. doi:10.5455/OVJ.2025.v15.i4.9


Web Style

Shailabi TI, Kabbashi AS, Aldeeb OH, Basheer ES, Gumaa RA, Younes EJ, Mohammed RF, Ismail AM. Antioxidant and protective effects of methanolic Solanum nigrum leaf extract against CCl4-induced hepatotoxicity and renotoxicity in albino rats. https://www.openveterinaryjournal.com/?mno=229616 [Access: January 25, 2026]. doi:10.5455/OVJ.2025.v15.i4.9


AMA (American Medical Association) Style

Shailabi TI, Kabbashi AS, Aldeeb OH, Basheer ES, Gumaa RA, Younes EJ, Mohammed RF, Ismail AM. Antioxidant and protective effects of methanolic Solanum nigrum leaf extract against CCl4-induced hepatotoxicity and renotoxicity in albino rats. Open Vet. J.. 2025; 15(4): 1585-1592. doi:10.5455/OVJ.2025.v15.i4.9



Vancouver/ICMJE Style

Shailabi TI, Kabbashi AS, Aldeeb OH, Basheer ES, Gumaa RA, Younes EJ, Mohammed RF, Ismail AM. Antioxidant and protective effects of methanolic Solanum nigrum leaf extract against CCl4-induced hepatotoxicity and renotoxicity in albino rats. Open Vet. J.. (2025), [cited January 25, 2026]; 15(4): 1585-1592. doi:10.5455/OVJ.2025.v15.i4.9



Harvard Style

Shailabi, T. I., Kabbashi, . A. S., Aldeeb, . O. H., Basheer, . E. S., Gumaa, . R. A., Younes, . E. J., Mohammed, . R. F. & Ismail, . A. M. (2025) Antioxidant and protective effects of methanolic Solanum nigrum leaf extract against CCl4-induced hepatotoxicity and renotoxicity in albino rats. Open Vet. J., 15 (4), 1585-1592. doi:10.5455/OVJ.2025.v15.i4.9



Turabian Style

Shailabi, Taher Issa, Ahmed Saeed Kabbashi, Osama Hussein Aldeeb, Eman Salah Basheer, Rehab Aeyad Gumaa, Ebtihal Jebriel Younes, Retaj Fawzi Mohammed, and Amar Mohamed Ismail. 2025. Antioxidant and protective effects of methanolic Solanum nigrum leaf extract against CCl4-induced hepatotoxicity and renotoxicity in albino rats. Open Veterinary Journal, 15 (4), 1585-1592. doi:10.5455/OVJ.2025.v15.i4.9



Chicago Style

Shailabi, Taher Issa, Ahmed Saeed Kabbashi, Osama Hussein Aldeeb, Eman Salah Basheer, Rehab Aeyad Gumaa, Ebtihal Jebriel Younes, Retaj Fawzi Mohammed, and Amar Mohamed Ismail. "Antioxidant and protective effects of methanolic Solanum nigrum leaf extract against CCl4-induced hepatotoxicity and renotoxicity in albino rats." Open Veterinary Journal 15 (2025), 1585-1592. doi:10.5455/OVJ.2025.v15.i4.9



MLA (The Modern Language Association) Style

Shailabi, Taher Issa, Ahmed Saeed Kabbashi, Osama Hussein Aldeeb, Eman Salah Basheer, Rehab Aeyad Gumaa, Ebtihal Jebriel Younes, Retaj Fawzi Mohammed, and Amar Mohamed Ismail. "Antioxidant and protective effects of methanolic Solanum nigrum leaf extract against CCl4-induced hepatotoxicity and renotoxicity in albino rats." Open Veterinary Journal 15.4 (2025), 1585-1592. Print. doi:10.5455/OVJ.2025.v15.i4.9



APA (American Psychological Association) Style

Shailabi, T. I., Kabbashi, . A. S., Aldeeb, . O. H., Basheer, . E. S., Gumaa, . R. A., Younes, . E. J., Mohammed, . R. F. & Ismail, . A. M. (2025) Antioxidant and protective effects of methanolic Solanum nigrum leaf extract against CCl4-induced hepatotoxicity and renotoxicity in albino rats. Open Veterinary Journal, 15 (4), 1585-1592. doi:10.5455/OVJ.2025.v15.i4.9