E-ISSN 2218-6050 | ISSN 2226-4485
 

Research Article


Open Veterinary Journal, (2025), Vol. 15(6): 2573-2585

Research Article

10.5455/OVJ.2025.v15.i6.29

Honey and royal jelly boost sperm parameters, ovarian follicles growth, and steroid hormones in immature rats

Dilshad M. Atta1, Rukhosh J. Rashed2 and Snur M. A. Hassan3*

1Honeybee Unit, Agriculture Directorate, Minister of Agriculture, Sulaimani, Iraq

2Department of Horticulture, College of Agriculture Engineering Science, University of Sulaimani, Sulaimani, Iraq

3Department of Anatomy and Histopathology, College of Veterinary Medicine, University of Sulaimani, Sulaimani, Iraq

*Corresponding Author: Snur M. A. Hassan, Department of Anatomy and Pathology, College of Veterinary Medicine, University of Sulaimani, Sulaimani, Iraq. Email: snur.amin [at] univsul.edu.iq, hassan_snur [at] yahoo.com

Submitted: 12/02/2025 Revised: 15/05/2025 Accepted: 21/05/2025 Published: 30/06/2025


Abstract

Background: Traditional medicine experts frequently recommend honey and royal jelly (RJ) as a supplemental diet to cure infertility and increase reproductivity.

Aim: The goal of the study was to investigate the effects of honey and RJ on testis and ovary performance in relation to hormone levels, sperm parameters, and ovarian follicles.

Methods: Forty-two immature Albino Sprague–Dawley male and female rats were used and allocated into seven groups: group 1 (Control negative), the rat was on a normal diet; groups 2, 3, and 4, the animals were fed on honey 2.5, 5, and 10 g/kg/bw; and groups 5, 6, and 7, the rats were fed on RJ 2.5, 5, and 10 g/kg/bw. After 4 weeks of the experiment, the blood was taken by heart puncture for hormonal and antioxidant assay by Cobas pack and ELISA utilization, respectively, the semen was taken manually from the epididymis for detecting sperm morphology and viability, and the testis and ovary were processed for H&E staining and histomorphometric parameters by (Am ScopeTM) analyzer.

Results: Honey and RJ improved the level of male and female hormones significantly (p ≤ 0.5), additionally, boosted the number, morphology, and normal viable sperm, and increased the number of ovarian follicles, particularly mature follicles and corpora luteal significantly (p ≤ 0.5) versus the control negative group. The higher dose of honey and RJ improved the weight and histology of the testis and ovary with increased diameters significantly (p ≤ 0.5) versus the control negative group.

Conclusion: According to this study, honey and RJ may be a novel additional supplement that could improve reproductive performance and be a successful future treatment for reproductive abnormalities.

Keywords: Hawraman, Honey, Ovarian follicle, RJ, Sharbazher, Sperm.


Introduction

To improve many facets of human and animal health, it is becoming increasingly recommended to utilize natural products as substitutes for synthetic preventive and therapeutic medications (El-Desoky et al., 2017). Honey, propolis, royal jelly (RJ), pollen, beeswax, drone brood, bee venom, and bee bread are just a few of the honeybee products that include a variety of natural bioactive ingredients with unique nutritional and medicinal qualities (Cornara et al., 2017). Many societies have historically utilized honey to increase both men’s and women’s fertility. Practitioners of complementary and alternative medicine continue to see value in adapting established methods (Zaid et al., 2021).

Honey bees (Apis mellifera) create honey, a natural material. They turn it into honey by gathering plant fluids, flower nectar, or the excretions of insects that feed on plants (Becerril-Sánchez et al., 2021). As a natural, wholesome, and nutrient-dense food, honey’s composition varies greatly based on its botanical and geographic origin (Baloš et al., 2020). Its primary ingredients are a blend of various carbohydrates (80%–85%), water (15%–17%), and proteins (0.1%–0.4%). Enzymes, organic acids, vitamins, minerals, and phenolic compounds are also present, albeit in smaller amounts, and they significantly enhance sensory and functional qualities (Baloš et al., 2020). Honey is frequently used as an antioxidant, antibacterial, and anti-inflammatory (Al-Waili et al., 2014).

Reproduction in mammals is affected by phenolic composites that are found in a good ratio in honey products. Phenolic compounds can regulate gonadal steroidogenesis and the functionality and metabolism of sex-steroid hormones (Hashem et al., 2020). Rat testis and sperm quality were examined with honey, and the results showed that the group treated with honey had significantly more sperm and improved sperm motility compared with the control group (Syazana et al., 2011). In mammalian species, including rats, honey has been shown to decrease the percentage of chromatin damage and sperm head and tail abnormalities while increasing libido, erectile function, spermatogenesis, epididymal sperm count, and normal sperm percentage (Mohamed et al., 2012). Consuming amounts of honey also increases male sex hormones, particularly testosterone, which in turn promotes spermatogenesis (Banihani, 2019). The well-being of the personal and civilization is significantly influenced by the health of women. Honey is useful for preserving reproductive health and treating gynecological conditions that impact women’s lives, such as vulvovaginal candidiasis infection. Numerous clinical studies have investigated the potential benefits of honey, either alone or in conjunction with other substances, for treating disorders in women (Firouzabadi et al., 2020; Zaid et al., 2021).

For the queen bee’s whole life, the hypopharyngeal and mandibular glands of worker bees produce RJ, a substance that supplies nourishment for 5–15 days. The RJ is all that queens feed (Maghsoudlou et al., 2019). RJ contains two-thirds water. It contains 3% sucrose, 10% glucose-fructose, and 15% protein. It has a lot of protein, carbs, vitamins, and minerals. It has 8–10 carbon fatty acids, which are absent in plants and animals. These compounds are primarily composed of 10-hydroxy-2-decenoic acid (10-HDA) 10. The quantity of this substance in RJ dictates its freshness and quality (İzol et al., 2023). RJ also includes trace amounts of minerals (Fe, Na, Ca, K, Zn, Mg, Mn, and Cu), vitamins (A, B complex, C, and E), enzymes, hormones, polyphenols, nucleotides, and small heterocyclic compounds, as well as amino acids (Val, Leu, Ile, Thr, Met, Phe, Lys, and Trp) (Alvarez-Suarez, 2017).

Numerous biological activities included in RJ can raise ejaculate volume, sperm production, seminal fructose, and sperm motility (Khazaei et al., 2018). RJ compounds can improve testosterone and testicular function, and as a result, they increase testicular resistance to thermal stressors (Zahmatkesh et al., 2014). RJ’s ingredients are what make it useful in treating low fertility; in fact, some studies have shown that it can increase low fertility rates (Abdelhafiz and Muhamad, 2008).

The main hormones that control the female reproductive system are estrogens, which are also essential for the development, maturation, and operation of the female reproductive organs. Puberty is the underlying reproductive process during which the body undergoes several maturation changes to promote the adult phenotype (Shirwalkar et al., 2007). The β-binding activity of four unsaturated fatty acid molecules in RJ (10H2DA, 10HDA, 2DEA, and 24MET) was demonstrated by ERs. Through their interactions with ERs, these substances demonstrated estrogenic effects that alter gene expression and cell proliferation (Suzuki et al., 2008).

Since the cost of drugs and artificial reproductive technologies is high for anyone with a reproductive issue and fertility that boosts gametogenesis, it is imperative to choose safer and inexpensive products to lessen financial strain. The current study aimed to investigate the effects of honey and RJ on the performance of male and female reproductive organs (testis and ovary), sperm parameters (number, viability, and morphology), folliculogenesis process, sex hormone levels, and antioxidant levels in rats.


Materials and Methods

Collection of honey and RJ and HPLC utilization

For this study, honey was purchased from the Hawraman area of Sargat Village, and RJ was purchased from the Sharbazher area of Nurabab Village, Kurdistan Region/Iraq. Both products are prepared by expert beekeepers in mountainous regions. HPLC was then used to examine the composition of Honey and RJ in the Scientific Research Organization, Environment and Water Research Center, Minister of Science and Technology, Bagdad, Iraq.

Experimental animals and design

Forty-two immature Albino Sprague–Dawley rats male and female, weighing 140–190 g of 4–5 weeks old, were utilized. This experiment was conducted at the animal house of the College of Veterinary Medicine, University of Sulaimani. Six animals were retained in each plastic cage throughout the experiment and housed in typical lab conditions, including a 12:12 light/dark photoperiod at a temperature of 23 C–25 C. Access to food and water was unrestricted for the animals.

Seven groups were assigned the animals as follows, with modifications (Yang et al., 2012; Widjiati et al., 2024).

Group 1 (Control negative, n = 6): The rats of this group were not given any treatment.

Group 2 (n = 6), the animals were fed 2.5 g/kg/bw honey.

In group 3 (n = 6), the animals were fed on honey 5 g/ kg/bw.

In group 4 (n = 6), the animals were fed on honey 10 g/kg/bw.

In group 5 (n = 6), the animals were fed 2.5 g/kg/bw of RJ.

In group 6 (n = 6), the animals were fed on RJ 5 g/kg/ bw.

In group 7 (n = 6), the animals were fed 10 g/kg/bw of RJ.

Four dosages were administered orally to the treatment groups each week. The combination was made fresh each day and consisted of varying amounts of honey and RJ mixed in 10 ml of distilled water. The duration of this trial was roughly 4 weeks in a row.

Clinical observation and weighing of animals

The rat was monitored daily for any abnormal signs or activity, and each rat in groups was weighted at five different times (0 days, week 1, week 2, week 3, and week 4).

Blood sample collection

The animals were anesthetized with ketamine (100 mg/ kg/bw) and xylazine (150 mg/kg/bw) overnight after the experiment (1 month). A syringe was used to puncture the heart, and the blood was then gradually transferred into a gel tube containing an anticoagulant for plasma and a tube devoid of EDTA for serum collection. The samples were then centrifuged at 3,000 rpm for 10 minutes, and the plasma was separated and transferred into Eppendorf tubes (1.5 ml) for each rat and stored in a deep freeze (–80 °C) for oxidative markers.

Sperm count (x106sperm/ml)

The animals were sacrificed, an abdominal incision was performed to open the abdominal cavity, and the testes were dissected immediately from each rat, washed with normal saline (0.9%), and the adhering fat and connective tissues were removed and then weighed. The epididymis was then carefully removed from the testes and used for semen analysis. Both pair testes from each rat were placed in 10% neutral buffered formalin (NBF) for histopathological processing. To prepare sperm suspension and semen analysis, the caudal epididymis was carefully separated from the testes. Briefly, 100 mg of the caudal epididymis was placed in 1 ml of warm normal saline at 37°C in a sterilized Petri dish and then cut into 3–4 pieces with a scissor. The tissue was left for 30–60 seconds to allow sperm to leak out of the epididymal tubules (the solution was tinted whitish or grayish, similar to the diluted semen), and the sperm suspension was collected in an Eppendorf tube (1.5 ml) for microscopical examination of sperm count and morphology. Sperm counts were conducted using an improved Neubauer chamber according to the World Health Organization (WHO) guidelines. Normal saline was used to dilute the tissue ten times (Rezvanfar et al., 2008). Then, 180 μl of semen diluent (5 g sodium bicarbonate and 99.0 ml distilled water) was mixed thoroughly with 20 μl of epididymal sperm suspension. About 10 μl of this diluted sperm suspension was placed into each counting chamber of the upgraded Neubauer chamber, and to prevent drying, it was left to stand in a humid environment for 5 minutes. The sperm cells were then allowed to settle and counted at 400x magnification using a light microscope. The numbers of spermatozoa were counted in five secondary squares with 16 cells each. When N is the number of sperm in five 16-celled secondary squares, the result is computed, multiplied by 106, and given as (N) × 106/ ml (Akang et al., 2010).

Sperm morphology and viability

On a heated slide, a drop of epididymal sperm suspension was applied to analyze the morphology and vitality of the sperm. After air-drying the smear, it was stained with 1% eosin for 10 minutes, rinsed with tap water, and allowed to cool. Next, it was stained with hematoxylin for 15 minutes, rinsed with tap water, and allowed to cool (Aksoy et al., 2012). The smears were then viewed at ×100 using an oil immersion tool. To evaluate morphological abnormalities. The rigorous sperm morphological criteria were used to evaluate and score each of the 200 spermatozoa from each rat as either normal or abnormal. There were two categories of morphological abnormalities: head and tail defects. The proportion of sperm with normal and aberrant shapes was determined. Following preparation, thin smears were examined at 1,000× magnification using a light microscope (Motic, San Antonio, USA). Sperm that were not viable were tinged pink, whereas viable sperm remained colorless (Fig 1).

Sperm motility (percentage of motile sperm)

This involved placing 5.0 µl of the sperm-containing supernatant between the slide and cover slip and using a light microscope (Motic, San Antonio, USA) to observe the sample at 100x magnification. According to the WHO laboratory manual technique for the evaluation of semen and sperm-cervical mucus interaction, sperm motility was assessed. Each rat had at least 200 sperm, and their motility was evaluated in at least five microscopic fields (Badkoobeh et al., 2013).

Antioxidant and hormonal assay

The Elecsys kit and Cobas analyzer (Roche Diagnostics, GmbH, USA) were used to measure the amounts of progesterone, testosterone, androgen, estradiol, and estrogen in the serum samples. By measuring absorbance at 450 nm, the amounts of these hormones were determined using a Microtiter (well reader LabSystems Multiskan, Helsinki, Finland). Two analyses of each sample were conducted. The procedure’s intra- and inter-precision were tracked using two layers of controls. The coefficients of variance for both the intra- and inter-assays were four. Antioxidants and glutathione (GSH) were detected in plasma using ELAISA and BT Lab technology according to the protocol instructions. Both internal and external standards were used to create a seven-point linear calibration curve for each analyte. The accuracy and precision of the assay were monitored intra- and inter-day by injecting three quality control samples at the start, finish, and after every 10 samples. The coefficients of variation varied from 3% to 10% and 10%, respectively, and recoveries were continuous over 90%.

Histomorphometric assessment of tests and ovary

Following the anesthesia of the rats, samples of the ovarian and testicular tissues were taken for the investigation. In the Histopathology Lab of Anwar Shexa Medical City/Sulaimani Governorate, specimens were fixed for at least 48 hours in 10% NBF, and then dehydrated in a graded series of ethanol. Samples were embedded in paraffin, and sections were deparaffinized in xylene before being successively hydrated in 100%, 95%, 70%, and 60% ethanol after two washes in phosphate-buffered saline. Four thin sections (4 µm) from each tissue were then mounted on regular and positively charged glass slides for hematoxylin and eosin (H&E) staining. The slides were then examined using a microscope (Motic, San Antonio, USA), and the photograph was examined using the (Am ScopTM, Tokyo, Japan) software to measure the thickness of the ovarian tissue throughout the section and the testicular tissue in 15 fields (Fig 2). The method for counting the ovarian follicles was evaluated by looking at each serial segment of the ovary to count the number of the following follicles: primordium, primary and secondary, mature follicle, and corpora luteum.

Fig. 1. Microscopic features of rat’s sperm revealed; a: Normal and viable sperm characterized by intact head and tail structures. b: Dead sperm. c: Curved sperm. d: Headless sperm. e: The sperm bent in the mid-pieces. f: Double-headed sperm (H&E stain, 1000X).

Statistical analysis

To ascertain the statistical difference between mean groups, GraphPad Prism 9 was utilized. The Brown–Forsythe and Bartlett’s tests were performed, and the one-way analysis of variance (ANOVA) was altered and used for data analysis of hormone, antioxidant, spermatogenesis, and folliculogenesis measurements. Tukey’s multiple comparisons test and a two-way ANOVA (mixed model) were used to compare the body weight measurements and organ weight of the various groups. P-values less than 0.05 were regarded as statistically significant.

Ethical approval

The study received approval from the local ethical committee for animal experimentation at the College of Veterinary Medicine at the University of Sulaimani (permission 030529, dated July 01, 2024).


Result

HPLC results for honey and RJ composition

The different metals, minerals, vitamins, phenolic and flavonoid compounds, carbohydrates, and lipids detected in honey and RJ are presented in Table 1 and Table 2, respectively.

Impact of honey and RJ on body weight

None of the animals in the study had clinical symptoms of systemic poisoning. Regarding the female categories that are displayed in (Fig 3), there was an increase in their body weight or weight gaining in all groups from week 2 till week 5 in comparison to week 1. Throughout the experiment duration, the groups of RJ 5 and 10 g/kg/bw revealed a significant (p ≤ 0.5) effect on increasing body weight from week 2 until week 5 versus week 1. The rats in the remainder treated group showed non-significant body weight gain at different experimental durations.

Fig. 2. Histomorphometric analysis of ovary and testis sections: a: control negative. b-d: Honey-treated groups. e-g: Royal jelly-treated groups (H&E stain).

For the male groups, as in (Fig 4), in comparison to week 1, all the rats gained weight throughout the experiment; in week 2, the honey and RJ significantly increased body weight (p ≤ 0.5) versus the negative control. From weeks 2 to 5, only the groups that received 5 and 10 g/kg/bw of RJ had a significant (p ≤ 0.5) body weight gain versus the negative control, whereas the other groups had a non-significant increase among them.

Impact of honey and RJ on female hormone, ovary diameters with folliculogenesis, and antioxidant markers

The results of several parameters in the female group are displayed in Table 3. The honey and RJ treatment improved estradiol levels significantly (p ≤ 0.5) among different groups, particularly RJ, which two-fold increased versus the control negative, except for the group treated with a low dose that had a non-significant rise, while progesterone levels impacted by using with different dose of honey and RJ versus control negative and increased significantly (p ≤ 0.5). Regarding the ovary weight on both sides, there was a non-significant rise in weight in all groups of honey and RJ, except groups that were treated with 2.5 g/kg/bw of honey showed no effect and similar data versus the control negative. In concern of ovary diameters (width), the data revealed a significant increase (p ≤ 0.5) in the length of rats’ ovaries in groups of honey and RJ versus the control negative. The length diameter of the ovary significantly (p ≤ 0.5) increased among all treatment groups versus the control negative. The antioxidant level increased non-significantly in all groups of honey and the low-dose group of RJ, whereas both groups of RJ (5 and 10 g/kg/bw) increased significantly (p ≤ 0.5) raised versus the control negative. In contrast, GSH increased significantly (p ≤ 0.5) in all treated groups versus the control negative, more specifically the RJ groups.

Table. 1. HPLC analysis of honey composition.

Table. 2. HPLC analysis of royal jelly contents.

The honey and RJ had a great impact in enhancing folliculogenesis (Fig 5), regarding primordial, secondary, and mature follicles their numbers boosted significantly (p ≤ 0.5) in all treated groups, particularly in RJ groups that raised twice versus the control negative group. The primary follicles were non-significantly increased except for both groups of honey (5 and 10 g/kg/bw), which revealed a highly significant (p ≤ 0.5) increase versus the control negative (Fig 6).

Influence of honey and RJ on male hormone levels, testis diameters, sperm quality, and antioxidant markers

The findings of several parameters are shown in (Table 4) for the male groups. The administration of honey and RJ significantly enhanced the levels of androgen and progesterone,, more specifically (p ≤ 0.5) in the RJ groups versus the control negative group. The weight of both testis’ sides increased non-significantly slightly in the honey-treated groups, whereas, in the RJ-treated groups the testis weight raised significantly (p ≤ 0.5) versus the control negative group. The width of the testis increased non-significantly in all treated groups versus the control negative, while the length of the testis significantly (p ≤ 0.5) increased, particularly boosted twice in RJ groups. Considering the sperm morphology, the honey increased and improved the sperm features about 6 folds more than control negative significantly (p ≤ 0.5) versus the RJ groups that increased the normal sperm about 10 folds than the control negative significantly (p ≤ 0.5), for the headless’s sperm significantly (p ≤ 0.5) reduced in the all treated groups, while for the double head non-significantly reduced versus the control negative. For the bent, curved, and dead’s sperm, their numbers were significantly reduced among treatment groups, more specifically in the group of RJ treated with of (10 g/ kg/bw) versus the control negative as seen in (Fig 7). The antioxidant level only increased significantly in RJ groups that were treated with doses of (5 and 10 g/kg/bw) versus the control negative and other treated groups. The GSH level increased significantly (p ≤ 0.5) in all treated group, except for the honey groups with doses of (2.5 and 5 g/kg/bw) which decreased its level versus the control negative group.


Discussion

In this investigation, the administration of varying amounts of honey and RJ to male and female immature rats resulted in a minor rise in the rats’ body weight. These results suggest that the presence of valuable nutrition, particularly amino acids and protein, in honey and RJ may have a beneficial muscular-building influence in all treated rats. Growing levels of hormone steroids are a hallmark of puberty (Almog et al., 2001). One fundamental mechanism controlled by hormones in living things is the reproductive system. The growth and maturation of reproductive organs are significantly influenced by ovarian steroids. In addition to some biological elements that promote the increased synthesis of these hormones, honey, and RJ naturally include the ovarian hormones progesterone and estradiol (Bogdanov, 2011). The current data documented the enhancement of estradiol and progesterone levels by honey and RJ, in accordance to the numerous researchers shown that honey and RJ activate the gonads, increasing the amount of Graafian follicles, corpora lutea, and steroid hormones (Eva, 2000; Liu et al., 2020). This study suggests that the natural products such as honey and RJ can cause hormonal disturbance and cycle dysregulation. A crucial step in female mammalian reproduction is follicular development. Significant increases in ovarian weights and ovarian diameters were observed with enhancing ovarian follicular growth in which the number of mature follicles increased in this study when immature female rats were given varying dosages of honey and RJ. These results suggest that as a consequence of its estrogenic effects of RJ may have a beneficial reproductive influence on both ovarian weight and structures (Mishima et al., 2005). Prior research has demonstrated that RJ has the ability to stimulate the formation of ovarian follicles in young rats (Mishima et al., 2005). It was verified that the additional RJ containing trace 10-HDA had estrogenic activity in immature rats and improved folliculogenesis (Suzuki et al., 2008), which is consistent with our analysis of RJ data by HPLC containing 3.16% (2 mg/ ml). Another research, which concurs with our findings, has indicated that RJ promotes follicle development and expansion, which results in the release of estradiol that is necessary to trigger ovulation and the surge of luteinizing hormone (LH) (Husein and Kridli, 2002). Comparable studies demonstrated that RJ’s antioxidant and estrogenic properties may have an impact on female fertility when administered appropriately (Ghanbari et al., 2017).

Fig. 3. The chart presented the impact of honey and royal jelly on the body weight of female rats.

Fig. 4. The chart presented the role of honey and royal jelly in body weight in male rats.

The present results demonstrated that honey and RJ increased the production of testosterone with androgen levels and improved sperm number, normal maturation, intact morphology, and motility, which could be due to the fact that honey and RJ mainly include proteins, sugars, lipids, vitamins, polyphenols, flavonoids, and free amino acids. According to research conducted in Iran, honey’s antioxidant qualities may be the reason for improving sperm motility, testosterone hormone levels, and seminiferous tubule diameters at doses of 1.2 and 1.8 g/kg bw (Mohammed, 2014; Hadi, 2017). The amino acid, vitae, and short-chain fatty acids unique to RJ, particularly 10-HDA, which is present in our RJ, may improve sperm motility and morphology in the present study, similar to previous data (Comhaire et al., 2000; Abdelhafiz and Muhamad, 2008). Moreover, rats given 0.2, 1.2, and 2.4 g/kg of Malaysian honey for 4 weeks showed increases in sperm count (Mohamed et al., 2012). The testicular weight, sperm count, testosterone hormone, and GSH level all increased after receiving 1 g/kg bw of Egyptian RJ for a month. The percentage of sperm deformities also decreased (Hassan, 2009). When fed 50, 100, or 150 mg of Chinese RJ /kg twice a week, rabbits’ sperm concentration, total sperm output, sperm motility, live sperm, and normal sperm all increased significantly (p < 0.05) during a 20-week period. Vitamins and amino acids were thought to have played a role in this rise (El-Hanoun et al., 2014). Although Iranian RJ (100 mg/kg bw) increases testicular weight, sperm count, motility, viability, and serum testosterone levels, it also appears to decrease sperm abnormalities. Its antioxidant properties might be enhanced by the addition of vitamins E and C (Ghanbari et al., 2015).

Table. 3. Impact of honey and royal jelly on hormone, ovary measurements, and antioxidant parameters in female groups.

Fig. 5. Effects of honey and royal jelly on folliculogenesis.

The current result, regarding the morphology of the testis, was normal even in the high-dose groups. Similarly, sperm morphology remained intact and was influenced by high-dose honey and RJ, in agreement with a previous study that documented that 800 mg/kg RJ preserved the morphology of the testis and sperm (Yang et al., 2012). Since it has been demonstrated that an increase in the number of aberrant sperm contributes to a decrease in plasma testosterone levels, our hypothesis might be that rising progesterone levels impact sperm shape (Karacal and Aral, 2008).

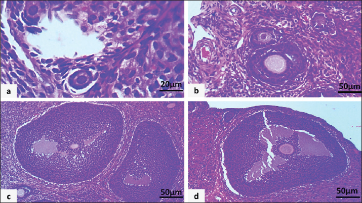
Fig. 6. Microscopic sections of different stages of ovarian follicles; a: Primordial follicle. b: Primary follicles. c: Secondary or antrum follicles. d: Mature follicle (H&E stain).

Table. 4. Impact of honey and royal jelly on hormone, testis measurements, and antioxidant parameters in male groups.

Due to its vitamin, polyphenol, and flavonoid content, honey and RJ have high antioxidant and GSH markers. This is consistent with other studies that found that a 70 g dose of honey supplement administered to humans for 8 weeks in Iran raised seminal IL-1b, IL-6, IL-8, TNF-α, ROS, and MDA levels while significantly lowering seminal SOD and catalase levels (Tartibian and Maleki, 2012). When administered to diabetic rats for 28 days, kellet honey 2.0 g/kg weight resulted in large increases in SOD activity and GSH levels as well as significant decreases in the levels of the proteins MDA and carbonyl in the testis and sperm (Budin et al., 2017).

Fig. 7. Role of honey and royal jelly on sperm morphology.


Conclusion

Supplementation with honey and RJ speeds up the beginning of puberty, increases follicular growth, and promotes sperm viability and counts. Increased antioxidant potential and androgen, testosterone, progesterone, and estradiol activity in the reproductive system are linked to improved reproductive performance. According to this study, honey and RJ may be a novel additional supplement that could improve reproductive metrics and be a successful future treatment for infertility is premature.


Acknowledgments

The University of Sulaimani’s College of Veterinary Medicine and Agriculture Science in Sulaymaniyah, Iraq, supported this effort. No agencies or organizations are involved in this initiative.

Conflicts of interest

The authors declare no conflict of interest.

Funding

There is no funding for this project.

Authors’ contributions

DMA and RJR with SMAH were used to design the research. RJR data analysis, DMA, and SMAH wrote the manuscript. The manuscript has been revised by AMAH. The final manuscript has been read, corrected, and approved by all authors.

Data availability

This article contains all of the data created or examined in this investigation.


References

Abdelhafiz, A.T. and Muhamad, J.A. 2008. Midcycle pericoital intravaginal bee honey and royal jelly for male factor infertility. Int. J Gynaecol. Obstet. 101(2), 146–149.

Akang, E.A., Oremosu, O. and Dosumu, C. 2010. The effect of fluted pumpkin (telferia occidentalis) seed oil (fpso) on testis and semen parameters. Agric. Biol. J. North Am. 1(4), 697–703.

Aksoy, E., Aktan, T.M. and Duman, S. 2012. Assessment of spermatozoa morphology under light microscopy with different histologic stains and comparison of morphometric measurements. Int. J. Morphol. 30(4), 1544–1550.

Almog, B., Gold, R. and Tajima, K. 2001. Leptin attenuates follicular apoptosis and accelerates the onset of puberty in immature rats. Mol. Cell. Endocrinol. 183(1–2), 179–191.

Alvarez-Suarez, J.M. 2017. Bee products-chemical and biological properties. Berlin: Springer.

Al-Waili, N.S., Al-Waili, F.S. and Akmal, A. 2014. Effects of natural honey on polymicrobial culture of various human pathogens. Arch. Med. Sci. 10(2), 246–250.

Badkoobeh, P., Parivar, K. and Kalantar, S.M. 2013. Effect of nano-zinc oxide on doxorubicin-induced oxidative stress and sperm disorders in adult male wistar rats. Iran. J. Reprod. Med. 11(5), 355.

Baloš, M.M.Ž., Popov, N.S. and Radulović, J.Z.P. 2020. Sugar profile of different floral origin honeys from serbia. J Apicu. Res. 59(4), 398–405.

Banihani, S.A. 2019. Mechanisms of honey on testosterone levels. Heliyon 5(7), e02029.

Becerril-Sánchez, A.L. Quintero-Salazar, B. Dublán- García, O. and Escalona-Buendía, H.B. 2021. Phenolic compounds in honey and their relationship with antioxidant activity, botanical origin, and color. Antioxidants 10(11), 1700.

Bogdanov, S. 2011. Royal jelly, bee brood: composition, health, medicine: a review. Lipids. 3(8), 8–19.

Budin, S.B., Jubaidi, F.F., Azam, F.M.N., Yusof, N.L.M., Taib, I.S. and Mohamed, J. 2017. Kelulut honey supplementation prevents sperm and testicular oxidative damage in streptozotocin- induced diabetic rats. J. Teknologi. 79(3), 9674.

Comhaire, F., Christophe, A., Zalata, A., Dhooge, W., Mahmoud, A. and Depuydt, C. 2000. The effects of combined conventional treatment, oral antioxidants and essential fatty acids on sperm biology in subfertile men. Prostaglandins Leukot. Essent. Fatty Acids 63(3), 159–165.

Cornara, L., Biagi, J., Xiao, M. and Burlando, B. 2017. Therapeutic properties of bioactive compounds from different honeybee products. Fron. Pharmacol. 8, 412.

El-Desoky, N., Hashem, A., Elkomy, N. and Abo-Elezz, Z. 2017. Physiological response and semen quality of rabbit bucks supplemented with moringa leaves ethanolic extract during summer season. Animal. 11(9), 1549–1557.

El-Hanoun, A., Elkomy, A., Fares, W. and Shahien, E. 2014. Impact of royal jelly to improve reproductive performance of male rabbits under hot summer conditions. World Rabbit Sci. 22(3), 241–248.

Eva, C. 2000. Honey a comprehensivesurvey. London: International Bee Research Association. p: 60.

Firouzabadi, M., Pourramezani, N., and Balvardi, M. 2020. Comparing the effects of yarrow, honey, and breast milk for healing nipple fissure. Iran. J Nurs. Midwifery Res. 25(4), 282–285.

Ghanbari, E., Khazaei, M.R., Khazaei, M. and Nejati, V. 2017. Royal jelly promotes ovarian follicles growth and increases steroid hormones in immature rats. Int. J. Fertil. Steril. 11(4), 263.

Ghanbari, E., Nejati, V., Najafi, G., Khazaei, M. and Babaei, M. 2015. Study on the effect of royal jelly on reproductive parameters in streptozotocin- induced diabetic rats. Int. J. Fertil. Steril. 9(1), 113.

Hadi, I.H. 2017. Effect of honey on sperm characteristics and pregnancy rate in mice. Bull. Iraq Natl. History Museum 14(3), 223–233.

Hashem, N.M., Gonzalez-Bulnes, A. and Simal- Gandara, J. 2020. Polyphenols in farm animals: source of reproductive gain or waste? Antioxidants 9(10), 1023.

Hassan, A. 2009. Effect of royal jelly on sexual efficiency in adult male rats. Iraqi J Vet. Sci. 23.

Husein, M. and Kridli, R. 2002. Reproductive responses following royal jelly treatment administered orally or intramuscularly into progesterone-treated awassi ewes. Anim. Reprod. Sci. 74(1–2), 45–53.

İzol, E., Yapıcı, İ. and Gülçin, İ. 2023. 10-hydroxy-2- decenoic acid (10-hda) and bioactive components in royal jelly. Biological Activities of Honeybee Products, ed. İzol E., Haspolat YK, Gülçin İ. Orient Publications, pp: 1–9.

Karacal, F. and Aral, F. 2008. Effect of the royal jelly on sperm quality in mice. Indian Vet. J. 85(3), 331– 332.

Khazaei, M., Ansarian, A. and Ghanbari, E. 2018. New findings on biological actions and clinical applications of royal jelly: a review. J Diet. Suppl. 15(5), 757–775.

Liu, X.C., Jiang, Y., Chen, F., Shi, C., Lai. and Shen, L. 2020. Major royal jelly proteins accelerate onset of puberty and promote ovarian follicular development in immature female mice. Food Sci. Human Wellness, 9(4), 338–345.

Maghsoudlou, A., Mahoonak, A.S., Mohebodini, H. and Toldra, F. 2019. Royal jelly: chemistry, storage and bioactivities. J Apicu Sci. 63(1), 17–40.

Mishima, S., Suzuki, K.-M. and Isohama, N. 2005. Royal jelly has estrogenic effects in vitro and in vivo. J. Ethnopharmacol. 101(1–3), 215–220.

Mohamed, M., Sulaiman, S., Jaafar, H. and Sirajudeen, K. 2012. Effect of different doses of malaysian honey on reproductive parameters in adult male rats. Andrologia. 44, 182–186.

Mohammed, W.H. 2014. Hormonal and histological study on the effect of honey on mice male. Eng. Technol. J. 32, 862–868.

Rezvanfar, M., Sadrkhanlou, R., Ahmadi, A. and Shojaei-Sadee, H. 2008. Protection of cyclophosphamide-induced toxicity in reproductive tract histology, sperm characteristics, and DNA damage by an herbal source; evidence for role of free-radical toxic stress. Hum. Exper. Toxicol. 27(12), 901–910.

Shirwalkar, H., Modi, D.N. and Maitra, A. 2007. Exposure of adult rats to estradiol valerate induces ovarian cyst with early senescence of follicles. Mol. Cell. Endocrinol. 272(1–2), 22–37.

Suzuki, K.-M., Isohama, Y., Maruyama, H., Yamada, Y., Narita, Y. and Ohta, S. 2008. Estrogenic activities of fatty acids and a sterol isolated from royal jelly. Evi-Based Compl. Alter. Med. 5(3), 295–302.

Syazana, N.S., Hashida, N.H. and Kamaruddin, M.Y. 2011. Effects of gelam honey on sperm quality and testis of rat. Sains Malaysiana. 40(11), 1243–1246.

Tartibian, B. and Maleki, B.H. 2012. The effects of honey supplementation on seminal plasma cytokines, oxidative stress biomarkers, and antioxidants during 8 weeks of intensive cycling training. J. Androl. 33(3), 449–461.

Widjiati, W., Luqman, E.M., Kuntjorodjakti, S., Shabira, Z., Taqwa, S.F. and Mega, R.L. 2024. The impact of apis dorsata forest honey administration on follicle- stimulating hormone and luteinizing hormone levels in rats (rattus norvegicus) forced swim test as a chronic physical animal model. Open Vet. J. 14(2), 738.

Yang, A., Zhang, G., Xie, H. and Chen, Z.W. 2012. Influence of royal jelly on the reproductive function of puberty male rats. Food Chem. Toxicol. 50(6), 1834–1840.

Zahmatkesh, E. Najafi V. and Nejati, R. 2014. Protective effect of royal jelly on the sperm parameters and testosterone level and lipid peroxidation in adult mice treated with oxymetholone. Avicenna J. Phytomed. 4(1), 43.

Zaid, S.S.M., Ruslee, S.S. and Mokhtar, M.H. 2021. Protective roles of honey in reproductive health: a review. Mol. 26(11), 3322.



How to Cite this Article
Pubmed Style

Atta DM, Rashed RJ, Hassan SMA. Honey and royal jelly boost sperm parameters, ovarian follicles growth, and steroid hormones in immature rats. Open Vet. J.. 2025; 15(6): 2573-2585. doi:10.5455/OVJ.2025.v15.i6.29


Web Style

Atta DM, Rashed RJ, Hassan SMA. Honey and royal jelly boost sperm parameters, ovarian follicles growth, and steroid hormones in immature rats. https://www.openveterinaryjournal.com/?mno=242498 [Access: December 10, 2025]. doi:10.5455/OVJ.2025.v15.i6.29


AMA (American Medical Association) Style

Atta DM, Rashed RJ, Hassan SMA. Honey and royal jelly boost sperm parameters, ovarian follicles growth, and steroid hormones in immature rats. Open Vet. J.. 2025; 15(6): 2573-2585. doi:10.5455/OVJ.2025.v15.i6.29



Vancouver/ICMJE Style

Atta DM, Rashed RJ, Hassan SMA. Honey and royal jelly boost sperm parameters, ovarian follicles growth, and steroid hormones in immature rats. Open Vet. J.. (2025), [cited December 10, 2025]; 15(6): 2573-2585. doi:10.5455/OVJ.2025.v15.i6.29



Harvard Style

Atta, D. M., Rashed, . R. J. & Hassan, . S. M. A. (2025) Honey and royal jelly boost sperm parameters, ovarian follicles growth, and steroid hormones in immature rats. Open Vet. J., 15 (6), 2573-2585. doi:10.5455/OVJ.2025.v15.i6.29



Turabian Style

Atta, Dilshad M., Rukhosh J. Rashed, and Snur M. A. Hassan. 2025. Honey and royal jelly boost sperm parameters, ovarian follicles growth, and steroid hormones in immature rats. Open Veterinary Journal, 15 (6), 2573-2585. doi:10.5455/OVJ.2025.v15.i6.29



Chicago Style

Atta, Dilshad M., Rukhosh J. Rashed, and Snur M. A. Hassan. "Honey and royal jelly boost sperm parameters, ovarian follicles growth, and steroid hormones in immature rats." Open Veterinary Journal 15 (2025), 2573-2585. doi:10.5455/OVJ.2025.v15.i6.29



MLA (The Modern Language Association) Style

Atta, Dilshad M., Rukhosh J. Rashed, and Snur M. A. Hassan. "Honey and royal jelly boost sperm parameters, ovarian follicles growth, and steroid hormones in immature rats." Open Veterinary Journal 15.6 (2025), 2573-2585. Print. doi:10.5455/OVJ.2025.v15.i6.29



APA (American Psychological Association) Style

Atta, D. M., Rashed, . R. J. & Hassan, . S. M. A. (2025) Honey and royal jelly boost sperm parameters, ovarian follicles growth, and steroid hormones in immature rats. Open Veterinary Journal, 15 (6), 2573-2585. doi:10.5455/OVJ.2025.v15.i6.29