E-ISSN 2218-6050 | ISSN 2226-4485
 

Research Article


Open Veterinary Journal, (2025), Vol. 15(6): 2715-2721

Short Communication

10.5455/OVJ.2025.v15.i6.40

The identification of Salmonella enteritidis infection and therapeutic influence of fruit Cordia myxa and curcumin extracts on broiler chickens

Raed Hussein Salih Rabee1, Shurooq Asaad Abdulameer Shaher2, Mohammed R. Obaid3, Adnan Mansour Jasim1* and Saadeya Ali Lefelef Al-Gnami4

1College of Veterinary Medicine, AL-Qasim Green University, Babylon 51001, Iraq

2Department of Pharmacology—Al-Furat Al-Awsat Technical University, Najaf 54001, Iraq

3Hamza Agriculture High School, Babylon, Iraq

4Department of Physiology and Pharmacology, College of Veterinary Medicine, University of Al-Qadisiyah, Al Diwaniyah, Iraq

*Correspondence to: Adnan Mansour Jasim. College of Veterinary Medicine, AL-Qasim Green University, Babylon 51001, Iraq. Email: adnan.mansouri81 [at] vet.uoqasim.edu.iq

Submitted: 11/05/2025 Revised: 10/05/2025 Accepted: 11/05/2025 Published: 30/06/2025


Abstract

Background: Salmonella enteritidis is a major foodborne pathogen and affects the poultry industry as well.

Aim: This study aimed to find out how well extracts of Cordia myxa (C. myxa) and curcumin protect chickens from S. enteritidis infection.

Method: We bred 75 newly hatched Ros 308s after 10 days. The negative control was the only group that was not infected. The other four groups of broiler chicks in each group were infected by 1 × 107 cfu S. enteritidis 147, which is known to be resistant to nalidixic acid. Group 3 received a standard feed supplemented with curcumin at 400 mg/kg. Group 4 received a standard diet and 500 mg/kg of extract in drinking water. Lastly, Group 5 received a standard feed supplemented with 400 mg/kg and 500 mg/kg of extract in drinking water.

Results: The obtained results showed that broilers that were infected with S. enteritidis and given curcumin and C. myxia did better in terms of body weight, IgG, and IgA levels than the positive untreated group. In particular, C. myxia was better than curcumin in IgA. Even though curcumin or mixed therapy raised glutathione, it also decreased the number of heterophils (heterophilia) and inflammatory cytokines (IL-8 and TNF-α). This happened because the number of white blood cells and lymphocytes was reduced in the groups that got curcumin or C. myxa. The number of goblet cells also was raised. The intestinal villi stayed the same.

Conclusion: The combination of C. myxa and curcumin inhibits the growth of S. enteritidis, provides antioxidants, reduces free radicals, and improves intestinal tissue.

Keywords: Curcumin, Cordia myxa, Salmonella, Inflammatory cytokines.


Introduction

Recently, there have been more food-borne illnesses reported, especially in Asia (Cisse, 2019; Muhyaddin and Sabir, 2023). Salmonella-infected poultry is one of several other foodborne infections that are thought to cost the US economy $2.8 billion (Aljuwayd et al., 2023). Salmonella is responsible for a severe threat to the general public’s health as the primary etiological agent of foodborne infections around the world (Abebe et al., 2020). Salmonella, which causes a variety of illnesses known collectively as salmonellosis, is confirmed to be the primary cause of foodborne infections in animals and humans (Jajere, 2019). Lamas et al. (2018) reported that Salmonella typhimurium and Salmonella enteritidis are the major causes of food poisoning. Multidrug-resistant (MDR) Salmonella enterica has become more resistant even to third-generation cephalosporins (Gong et al., 2019). On the other side, the Salmonella infection rate in deprived countries may reach 10% in chickens due to challenging epidemiological situations (Chinivasagam et al., 2012; Rychlik et al., 2014). The initial immune reaction of chickens to S. enterica appears to rely on the presence of the O-antigen rather than on the specific serovar classification. Moreover, our findings suggest that when fluctuations in inflammatory gene activity remained within a tenfold range, the expression levels of calbindin and aquaporin 8 in the cecal tissue were unaffected (Varmuzoval et al., 2014). Many techniques have been applied through the years to reduce pathogens, such as vaccination, changing gut bacteria to get a competitive exemption, and the application of prebiotics and probiotics (Acevedo-Villanueva et al., 2021). The chronic colonization of S. enteritidis in broilers contributed to environmental degradation and posed the greatest threats to food security and public health, despite the fact that S. enteritidis-challenged chickens had low mortality rates (Li et al., 2021).

Many medicinal plants have demonstrated curative efficacy, leading to their long-standing use in food and animal products. These plants, utilized as extracts, active compounds, and volatile oils, are valuable in controlling pathogenic infection in poultry (Mussarat et al., 2021). The chief advantage of bioactive compounds over synthetic antibiotics is their multi-mechanism antibacterial action, as compared with the fixed mechanisms of action for antibiotics, which have little likelihood of originating bacterial resistance against antimicrobials from plant sources.

Curcumin is a bright yellow substance. It is an essential curcuminoid found in turmeric, which belongs to the Zingiberaceae family. Many articles reported anti-inflammatory, antibacterial, antifungal, and antiviral agents and a strong antioxidant. Curcumin has a broad spectrum of antibacterial actions against a wide number of bacteria until they’re resistant to antibiotics. It has appeared to be active against Staphylococcus aureus, Escherichia coli, Helicobacter pylori, and Salmonella. Curcumin is famed to have antifungal action and viral infection (Jennings and Parks, 2020). Curcumin has been demonstrated to possess antibacterial properties against a variety of bacteria, including antibiotic-resistant ones. Turmeric also possesses immunomodulatory and anti-inflammatory qualities that can strengthen poultry’s immune systems and lessen the need for antibiotics. Turmeric can lower the incidence of sickness in chickens and enhance intestinal health and growth performance, according to studies (Scazzocchio et al., 2020). Thus, turmeric has the potential to be used in chicken production as an antibiotic substitute, which might help combat antibiotic resistance while simultaneously enhancing animal health and welfare (Dai et al., 2022).

The plant Cordia myxa, which is mainly found in Asia, has broad, crusty leaves and spherical fruits (Shahriari and Moghadamnia, 2019). The fruits contain many active compounds, such as flavonoids, saponins, sterols, terpenoids, phenolic acids, alkaloids, coumarins, and tannins (Inas et al., 2011). Flavonoids, sterols, phenolic acids, saponins, terpenes, alkaloids, coumarins, and tannins are only a few of the substances found in fruits. It is said that the fruits of the C. myxa plant can help with urinary tract infections and can also be used to treat pain, inflammation, and diarrhea in rats (Al-Snafi, 2018). Human colitis has been treated with C. myxa fruits that have anti-inflammatory properties as well as being effective in treating diarrhea by inhibiting intestinal motility. Some new studies say that the fruit extract of C. myxa is very good at killing bacteria. It was found to work against E. coli, S. enterica, S. aureus, Bacillus subtilis, and Pseudomonas aeruginosa (Alyamani et al., 2023).

This study investigated the effects of the extracts of C. myxa and curcumin against salmonellosis in chickens. The antibacterial potential of such extracts was additionally investigated.


Materials and Methods

Animal ethics agreement

This study was approved by the Ethics Committee of the College of Veterinary Medicine according to NO: 533FD2. Additionally, the procedure was approved by the institutional animal ethics council at Al-Qasim Green University.

Materials

Curcumin of 95% purity was purchased from the United States. Cordia myxa fruit was isolated from a local city in AL-Qasim, Babylon, and then extracted by ethanol 70% using a magnetic stirrer according to Al-Ahbabi et al. (2016), Hasson et al. (2022).

Animal

This study was conducted in the animal house of the College of Veterinary Medicine, Babylon Province. The study was carried out in a semi-closed hall divided into four sections, and its dimensions were 3 × 2 m² divided by wooden partitions, wire mesh, and independent doors. The poultry field was air-conditioned, the ambient temperature stabilized at approximately 25°C to 30°C, and the light cycle was identical to that of a commercial farm (15 hours light/9 hours’ dark). No clinical signs of disease were noted before beginning the experiment. In this current study, 75 newly hatched Ros 308 after 10 days from the beginning of experiment, with the exception of the negative control (NC), all broilers in the other four groups were infected with 1 × 107 cfu S. enteritidis 147 classified as nalidixic acid resistant (Matulova et al., 2013). Group 1 received a standard diet (NC), Group 2 was infected and received a standard diet only with no supplementation, and Group 3 was given a standard feed and curcumin at 400 mg/kg as supplement (Yadav et al., 2020). Group 4 received a standard diet and 500 mg/kg of C. myxa extract in drinking water, and lastly, Group 5 received a standard feed supplemented with curcumin 400 and 500 mg/kg of C. myxa extract in drinking water. After 6 days post-infection, chickens were sacrificed under chloroform anesthesia, during this period; clinical symptoms were recorded on the infected chicks, including fever, appetite, and diarrhea. Blood samples were collected from heart puncture, and serum was isolated to determine immunological parameters. To calculate S. enteritidis, samples of 0.5 g of cecum were collected as well as histopathological sections on the small intestine were cooled and fixed with 10% formalin.

Enumeration of S. enteritidis

Specimens were mashed in peptone water, repeatedly diluted 10fold, and plated on HiMedia (xylose lysine deoxycholate agar plates) with 20,000 mg/ml nalidixic acid solution. Specimens that tested negative after plating were pre-enriched in buffered peptone water and then further enriched in a modified semi-solid Rappaport-Vassiliadis medium (Oxoid). Bacteria counts identified as positive following immediate plating were logarithmically converted. Specimens that were positive following enrichment were assigned a value of 1, and negative samples were assigned a value of 0 (Varmuzoval et al., 2015).

Measurement of immune parameters, antioxidant content, cytokines, and blood parameters was done (Abdel-Tawwab et al., 2022).

Statistical analysis

Data were analyzed statistically using the Microsoft Program (SPSS), the mean of variance was compared by T-test at (p < 0.05) as described (Morgan et al., 2004) .


Results

Effect of curcumin and C. myxa on the body weight and immunity

The present study noted that broilers infected with S. enteritidis and treated with curcumin 400 mg/kg diet and C. myxia led to clear (p < 0.05) amelioration in IgG and IgA concentrations than the positive group. On the other hand, untreated S. enteritidis broilers recorded a significant (p < 0.05) reduction in IgG compared to the treated groups as the recorded mean values of 368.8 ± 25.7 (G2), 470.2 ± 10.81 (G3), 441 ± 11.8 (G4), and 512.6 ± 19.8 (G5). Likely, IgA showed the same trend 46.4 ± 2.6 (G2), 58.6 ± 4.1 (G3), 67.4 ± 3.2 (G4), and 73.2 ± 1.15 (G5), respectively. Moreover, the combination of curcumin and C. myxa showed excellent immune stimulation than when separated. The current study reported that broilers infected with S. enteritidis and treated with a curcumin 400 mg/kg diet and C. myxia led to a clear (p < 0.05) improvement in body weight than in the positive group (Table 1).

Table 1. Effect of curcumin and C. myxa and their combination in body weights and immunity in various experimental groups.

Effect of Curcumin and C. myxa on serum antioxidant and anti-inflammatory parameters

As shown in Table 2, compared with the infected and untreated group, the activity of glutathione (GSH) was significantly elevated with diet supplemented with 400 mg/kg of curcumin or C. myxa in drinking water. On the other hand, the combination of curcumin and C. myxa significantly reduced the malondialdehyde (MDA) content (p < 0.05), although the single addition of curcumin or C. myxa had clear improvement compared to the infected and untreated group. Chickens infected with S. enteritidis showed significant elevation in the cecal contents of cytokines (inflammatory markers) (IL-8 and TNF-α) compared with the healthy broilers. The recorded data showed a significant reduction in such cytokines in the treatment groups compared with the infected and untreated ones.

Table 2. Effect of curcumin and C. myxa and their combination in serum antioxidant and anti-inflammatory in various experimental groups.

Results recorded in Table 3 showed clear improvement in the blood parameters with a significant reduction in the microbial counts in the infected and treated groups compared to the infected and untreated groups.

Table 3. Effect of curcumin and C. myxa differential leukocyte count of different experimental groups.

Histopathological study

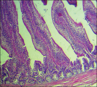
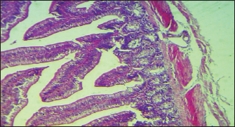
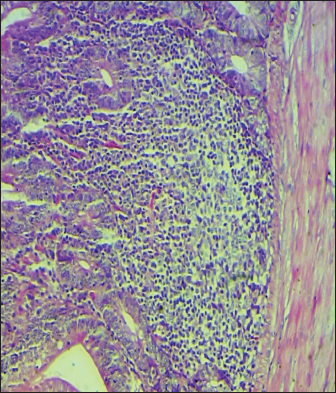
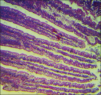
The results noted in Figures 15 showed that chicks infected with S. enteritidis had edema among the muscular layer with atrophy of some intestinal villi. On the other hand, broilers infected with S. enteritidis and treated with C. myxa showed degeneration of intestinal glands with extensive inflammatory cell infiltration also mild sub-muscular edema, while with curcumin-treated group showed normal intestinal villi architectures, with hyperplasia of intestinal associated lymphoid tissue. The result noted a clear improvement in broilers that received C. myxa and curcumin showing normal intestinal villi with an increase in the number of goblet cells. The data of the present study confirmed the effectiveness of C. myxa and curcumin and especially the synergistic action between them in inhibiting the growth of S. enteritidis bacteria in poultry chickens, improving antioxidants and reducing free radicals, in addition to its action as a good anti-inflammatory at the blood level and suppressing the levels of cytokines that encourage inflammation and its role in improving intestinal tissues and making them close or similar to the health of broiler.

Fig. 1. Cross section of the intestine of poultry refers to normal histological architectures 100×. (H & E).

Fig. 2. Cross section of the intestine of chicks infected with S. enteritidis and showing edema among the muscular layer with atrophy of some intestinal villi (H & E ×100).

Fig. 3. Cross section of the intestine of poultry infected with S. enteritidis and treated with C. myxa, showing degeneration of intestinal glands with some inflammatory cell infiltration also mild sub-muscular edema (200×, H & E).

Fig. 4. Cross section of the intestine of poultry infected with S. enteritidis and treated with curcumin showing normal intestinal villi architectures, with hyperplasia of intestinal associated lymphoid tissue (200×, H & E).

Fig. 5. Cross section of the intestine of poultry chicks infected with S. enteritidis and treated with C. myxa and curcumin showing normal intestinal villi with an increase in the numbers of the goblet cells (H&E stains, 100×).


Discussion

The current investigation focused on the antioxidant, anti-inflammatory, and antibacterial effects of curcumin and C. myxa. The obtained results found that chickens that were infected with Salmonella had a marked reduction in the body performances and a clear rise in the cytokines and inflammatory responses. This agrees with previous reports which showed that chickens infected with S. enteritidis had slow metabolisms and immune systems that did not work properly (Islam and Yang, 2017; Islamar et al., 2017; Sorour et al., 2020). Interestingly, dietary supplementation with curcumin and C. myxa had significant improvement in the body performance, immune responses, antioxidant, and anti-inflammatory activities. These observations are in agreement with those made by Varmuzoval et al., (2015) who confirmed that broilers receiving diets with supplements and Scutellaria extract, which reduced inflammation caused by S. enteritidis exposure. The supplement reduced the swelling resulting from exposure to S. enteritidis, which impacted the ceci. Likely, such supplements were shown to improve the gut microbiota C. myxa extract was confirmed reduce mild stress via potent antioxidant via significant elevation of (SOD and CAT) Habeeb et al. (2022).

The blood picture in the treated groups was in line with the previous reports that demonstrated the antimicrobial activities of C. myxa against Salmonella gallinarum and that possibly due to the high content of flavonoids in the C. myxa (Pluta et al., 2020). Curcumin and its metabolites are beneficial for health because they change the microbiome in the gut. This changes how curcumin is broken down and how microflora affects the breakdown of potent active metabolites compared to the original curcumin. The main ingredient in curcumin and C. myxa blocks and stops arterial receptors. This stops the growth of bacteria and directly gets rid of inflammatory processes, free radicals, and bird-suit damage.

The immune system protects against pathogens, with neutrophils serving as the primary defense cell against acute infection in birds following a S. enteritidis challenge. Khodadadi et al. (2021) said that adding curcumin to a broiler chicken’s diet can strengthen its natural and learned immune system, lower stress and inflammation, and improve the growth performance. The obtained results were comparable to that reported before (Hafez et al., 2022; Hafezsental et al., 2022). Rajput et al. (2013) discovered that 200 mg/kg of curcumin increased net body weight and feed efficiency by a large amount. It also decreased abdominal fat, raised T4 hormone levels and fat utilization, lowered cholesterol levels from the side, and increased the height of villus cells in the duodenum, jejunum, and ileum. It also increased the absorptive area of villus cells in the small intestine.


Conclusion

Salmonella infections cause different types of damage to the small intestine in chickens. Giving curcumin or C. myxa, or both together, lessens the harmful effects of Salmonella by repairing tissue damage in the small intestine in a normal way. Such combination also improved the immune parameters, antioxidant status, and inflammatory responses to chicks experimentally infected with Salmonella.

Acknowledgments/Funding

The authors are grateful to Al-Qasim Green University City, Iraq, and the Dean of our college and their department.

Conflicts of interest

The authors have no conflict of interests.

Authors’ contributions

Raed helped with the idea, creation, and editing of the manuscript. Mohammed helped with chicken breeding, Ahmed worked on article drafting and revision, and Adnan contributed to data and statistical analysis. All authors approved the final version of the manuscript.

Data availability

All data are included within the manuscript.


References

Abdel-Tawwab, M., Eissa, E.-S.H., Tawfik, W.A., Abd Elnabi, H.E., Saadony, S., Bazina, W.K. and Ahmed, R.A. 2022. Dietary curcumin nanoparticles promoted the performance, antioxidant activity, and humoral immunity, and modulated the hepatic and intestinal histology of Nile Tilapia fingerlings. Fish Physiol. Biochem. 48, 585–601.

Abebe, E., Gugsa, G. and Ahmed, M. 2020. Review on major food-borne zoonotic bacterial pathogens. J. Trop. Med. 2020, 4674235.

Acevedo-Villanueva, K.Y., Renu, S., Shanmugasundaram, R., Akerele, G.O., Gourapura, R.J. and Selvaraj, R.K. 2021. Salmonella chitosan nanoparticle vaccine administration is protective against Salmonella enteritidis in broiler birds. PLoS One 16, E0259334.

Al-Ahbabi, H.H., Jasim, A., Hasson, S.O., Abed, W.F., Ah, M., Amer, M. and Obaid, S. 2016. Antimicrobial activity of Aloe vera extract on cases of Keratoconjunctivitisin sheep (in vivo and in vitro study) and compared with penicillin–streptomycin. Basrah J. Vet. Res. 15, 227–245.

Aljuwayd, M., Malli, I.A. and Kwon, Y.M. 2023. Application of eugenol in poultry to control Salmonella colonization and spread. Vet. Sci. 10, 151.

Al-Snafi, A.E. 2018. Traditional uses of Iraqi medicinal plants. Iosr J. Pharm. 8, 32–96.

Alyamani, A.A., Al-Musawi, M.H., Albukhaty, S., Sulaiman, G.M., Ibrahim, K.M., Ahmed, E.M., Jabir, M.S., Al-Karagoly, H., Aljahmany, A.A. and Mohammed, M.K. 2023. Electrospun polycaprolactone/chitosan nanofibers containing Cordia myxa fruit extract as potential biocompatible antibacterial wound dressings. Molecules 28, 2501.

Chinivasagam, H., Tran, T. and Blackall, P. 2012. Impact of the Australian litter re-use practice on Salmonella in the broiler farming environment. Food Res. Inter. 45, 891–896.

Cisse, G. 2019. Food-borne and water-borne diseases under climate change in low-and middle-income countries: further efforts needed for reducing environmental health exposure risks. Acta Trop. 194, 181–188.

Dai, C., Lin, J., Li, H., Shen, Z., Wang, Y., Velkov, T. and Shen, J. 2022. The natural product curcumin as an antibacterial agent: current achievements and problems. Antioxidants 11, 459.

Gong, J., Zeng, X., Zhang, P., Zhang, D., Wang, C. and Lin, J. 2019. Characterization of the emerging multidrug-resistant Salmonella enterica serovar Indiana strains in China. Emerg. Microb. Infect. 8, 29–39.

Habeeb, Y.J., Selman, S.M. and Mehrath, A.J. 2022. Study of the effects of Cordia myxa fruit extract on induced animal model of depression in male rats. Arch. Razi. Inst. 77(4), 1503–1511.

Hafez, M.H., El-Kazaz, S.E., Alharthi, B., Ghamry, H.I., Alshehri, M.A., Sayed, S., Shukry, M. and El-Sayed, Y.S. 2022. The impact of curcumin on growth performance, growth-related gene expression, oxidative stress, and immunological biomarkers in broiler chickens at different stocking densities. Animals 12, 958.

Hasson, S.O., Jasim, A.M., Salman, S.A.K., Akrami, S., Saki, M. and Hassan, M.A. 2022. Evaluation of antibacterial and wound-healing activities of alcoholic extract of Boswellia carterii, in vitro and in vivo study. J. Cosm. Dermatol. 21(11), 6199–6208.

Inas, Z., Hala, A. and Gehan, H.H. 2011. Gastroprotective effect of Cordia myxa L. fruit extract against indomethacin-induced gastric ulceration in rats. Life Sci. J. 8, 433–445.

Islam, M.M. and Yang, C.-J. 2017. Efficacy of mealworm and super mealworm larvae probiotics as an alternative to antibiotics challenged orally with Salmonella and E. coli infection in broiler chicks. Poul. Sci. 96, 27–34.

Jajere, S.M. 2019. A review of Salmonella enterica with particular focus on the pathogenicity and virulence factors, host specificity and antimicrobial resistance including multidrug resistance. Vet. World 12, 504.

Jennings, M.R. and Parks, R.J. 2020. Curcumin as an antiviral agent. Viruses 12, 1242.

Khodadadi, M., Sheikhi, N., Nazarpak, H.H. and Brujeni, G.N. 2021. Effects of dietary turmeric (Curcuma longa) on innate and acquired immune responses in broiler chicken. Vet. Anim. Sci. 14, 100213.

Lamas, A., Miranda, J.M., Regal, P., Vázquez, B., Franco, C.M. and Cepeda, A. 2018. Acomprehensive review of non-enterica subspecies of Salmonella enterica. Microbiol. Res. 206, 60–73.

Li, Z., Zhang, C., Li, B., Zhang, S., Haj, F.G., Zhang, G. and Lee, Y. 2021. The modulatory effects of Alfalfa polysaccharide on intestinal microbiota and systemic health of Salmonella serotype (Ser.) enteritidis-challenged broilers. Sci. Rep. 11, 10910.

Matulova, M., Varmuzova, K., Sisak, F., Havlickova, H., Babak, V., Stejskal, K., Zdrahal, Z. and Rychlik, I. 2013. Chicken innate immune response to oral infection with Salmonella enterica serovar enteritidis. Vet. Res. 44, 1–11.

Morgan, G.A., Leech, N.L., Gloeckner, G.W. and Barrett, K.C. 2004. SPSS for introductory statistics: use and interpretation. New York, NY: Psychology Press.

Muhyaddin, S. and Sabir, I. 2023. An Understanding the food safety knowledge among food science students in Iraq. Nutr. Food Sci. 53, 234–248.

Mussarat, S., Ali, R., Ali, S., Mothana, R.A., Ullah, R. and Adnan, M. 2021. Medicinal animals and plants as alternative and complementary medicine in Southern Regions of Khyber Pakhtunkhwa, Pakistan. Front. Pharmacol. 12, 649046.

Pluta, R., Januszewski, S. and Ułamek-Kozioł, M. 2020. Mutual two-way interactions of curcumin and gut microbiota. Inter. J. Mol. Sci. 21, 1055.

Rajput, N., Muhammad, N., Yan, R., Zhong, X. and Wang, T. 2013. Effect of dietary supplementation of curcumin on growth performance, intestinal morphology and nutrients utilization of broiler chicks. J. Poul. Sci. 50, 44–52.

Rychlik, I., Elsheimer-Matulova, M. and Kyrova, K. 2014. Gene expression in the chicken caecum in response to infections with non-typhoid Salmonella. Vet. Res. 45, 1–14.

Scazzocchio, B., Minghetti, L. and D’archivio, M. 2020. Interaction between gut microbiota and curcumin: a new key of understanding for the health effects of curcumin. Nutrients 12, 2499.

Shahriari, M. and Moghadamnia, D. 2019. Protective effect of Cordia myxa extract on changes in body weight, serum proteins, albumin and liver histology of adult male rats induced by cadmium chloride toxicity. Iran. J. Toxicol. 13, 43–49.

Sorour, H., Gaber, A. and Hosny, R. 2020. Evaluation of the efficiency of using Salmonella Kentucky and Escherichia coli O119 bacteriophages in the treatment and prevention of salmonellosis and colibacillosis in broiler chickens. Lett. Appl. Microbiol. 71, 345–350.

Varmuzoval, K., Matulova, M.E., Gerzova, L., Cejkova, D., Gardan-Salmon, D., Panheleux, M., Robert, F., Sisak, F., Havlickova, H. and Rychlik, I. 2015. Curcuma and Scutellaria plant extracts protect chickens against inflammation and Salmonella enteritidis infection. Poul. Sci. 94, 2049–2058.

Varmuzoval, K., Matulova, M.E., Sebkova, A., Sekelova, Z., Havlickova, H., Sisak, F., Babak, V. and Rychlik, I. 2014. The early innate response of chickens to Salmonella enterica is dependent on the presence of O-antigen but not on serovar classification. PLoS One 9, E96116.

Yadav, S., Teng, P.Y., Dos Santos, T.S., Gould, R.L., Craig, S.W., Fuller, A.L., Pazdro, R. and Kim, W.K. 2020. The effects of different doses of curcumin compound on growth performance, antioxidant status, and gut health of broiler chickens challenged with Eimeria species. Poul. Sci. 99, 5936–5945.



How to Cite this Article
Pubmed Style

Rabee RHS, Shaher SAA, Obaid MR, Jasim AM, Al-gnami SAL. The identification of Salmonella enteritidis infection and therapeutic influence of fruit Cordia myxa and curcumin extracts on broiler chickens. Open Vet. J.. 2025; 15(6): 2715-2721. doi:10.5455/OVJ.2025.v15.i6.40


Web Style

Rabee RHS, Shaher SAA, Obaid MR, Jasim AM, Al-gnami SAL. The identification of Salmonella enteritidis infection and therapeutic influence of fruit Cordia myxa and curcumin extracts on broiler chickens. https://www.openveterinaryjournal.com/?mno=257557 [Access: January 25, 2026]. doi:10.5455/OVJ.2025.v15.i6.40


AMA (American Medical Association) Style

Rabee RHS, Shaher SAA, Obaid MR, Jasim AM, Al-gnami SAL. The identification of Salmonella enteritidis infection and therapeutic influence of fruit Cordia myxa and curcumin extracts on broiler chickens. Open Vet. J.. 2025; 15(6): 2715-2721. doi:10.5455/OVJ.2025.v15.i6.40



Vancouver/ICMJE Style

Rabee RHS, Shaher SAA, Obaid MR, Jasim AM, Al-gnami SAL. The identification of Salmonella enteritidis infection and therapeutic influence of fruit Cordia myxa and curcumin extracts on broiler chickens. Open Vet. J.. (2025), [cited January 25, 2026]; 15(6): 2715-2721. doi:10.5455/OVJ.2025.v15.i6.40



Harvard Style

Rabee, R. H. S., Shaher, . S. A. A., Obaid, . M. R., Jasim, . A. M. & Al-gnami, . S. A. L. (2025) The identification of Salmonella enteritidis infection and therapeutic influence of fruit Cordia myxa and curcumin extracts on broiler chickens. Open Vet. J., 15 (6), 2715-2721. doi:10.5455/OVJ.2025.v15.i6.40



Turabian Style

Rabee, Raed Hussein Salih, Shurooq Asaad Abdulameer Shaher, Mohammed R. Obaid, Adnan Mansour Jasim, and Saadeya Ali Lefelef Al-gnami. 2025. The identification of Salmonella enteritidis infection and therapeutic influence of fruit Cordia myxa and curcumin extracts on broiler chickens. Open Veterinary Journal, 15 (6), 2715-2721. doi:10.5455/OVJ.2025.v15.i6.40



Chicago Style

Rabee, Raed Hussein Salih, Shurooq Asaad Abdulameer Shaher, Mohammed R. Obaid, Adnan Mansour Jasim, and Saadeya Ali Lefelef Al-gnami. "The identification of Salmonella enteritidis infection and therapeutic influence of fruit Cordia myxa and curcumin extracts on broiler chickens." Open Veterinary Journal 15 (2025), 2715-2721. doi:10.5455/OVJ.2025.v15.i6.40



MLA (The Modern Language Association) Style

Rabee, Raed Hussein Salih, Shurooq Asaad Abdulameer Shaher, Mohammed R. Obaid, Adnan Mansour Jasim, and Saadeya Ali Lefelef Al-gnami. "The identification of Salmonella enteritidis infection and therapeutic influence of fruit Cordia myxa and curcumin extracts on broiler chickens." Open Veterinary Journal 15.6 (2025), 2715-2721. Print. doi:10.5455/OVJ.2025.v15.i6.40



APA (American Psychological Association) Style

Rabee, R. H. S., Shaher, . S. A. A., Obaid, . M. R., Jasim, . A. M. & Al-gnami, . S. A. L. (2025) The identification of Salmonella enteritidis infection and therapeutic influence of fruit Cordia myxa and curcumin extracts on broiler chickens. Open Veterinary Journal, 15 (6), 2715-2721. doi:10.5455/OVJ.2025.v15.i6.40