E-ISSN 2218-6050 | ISSN 2226-4485
 

Research Article


Open Veterinary Journal, (2025), Vol. 15(8): 3541-3548

Research Article

10.5455/OVJ.2025.v15.i8.16

Diet Coke’s chronic daily intake in female albino rats: Biochemical and histopathological effects on certain hematological and reproductive parameters

Hani M. Abdelsalam1,2, AbdelAziz Abbas Diab1, Mohamed Hussien Mohamed3, Mai Mahmoud Abdelhamid1 and Mona A. Hassan4*

1Department of Zoology, Faculty of Science, Zagazig University, Sharkia, Egypt

2Science Department, Rustaq College of Education, University of Technology and Applied Sciences, Oman

3Department of Physiology, Faculty of Medicine, Zagazig University, Sharkia, Egypt

4Department of Forensic Medicine and Toxicology, Faculty of Veterinary Medicine, Zagazig University, Zagazig, Egypt

*Corresponding Author: Mona A. Hassan, Department of Forensic Medicine and Toxicology, Faculty of Veterinary Medicine, Zagazig University, Zagazig, Egypt. Email: monaabdelhady91 [at] gmail.com

Submitted: 17/05/2025 Revised: 05/07/2025 Accepted: 20/07/2025 Published: 31/08/2025


ABSTRACT

Background: The scientific community and the general public are very interested in the question of how artificially sweetened drinks, such as diet cola, should be marketed to minimize the intake of free sugars, especially sugar-sweetened beverages. However, contradictory study findings and potential safety concerns have impeded the development of formal guidelines. The reproductive effects of the DS diet, particularly in females, have not received much attention.

Aim: This study elucidates the impact of prolonged consumption of sugar-free cola drinks on several hematological and reproductive parameters in adult female rats over a 4-month period.

Methods: Rats were divided into three groups of 10 rats each. The control group was untreated and drank only tap water. The Coca-Cola group (A) received free access to 50% Diet Coke diluted with 50% tap water. The Coca-Cola group (B) received free access to 100% Diet Coke. Several hematological and reproductive parameters were then examined.

Results: The results revealed that the daily consumption of cola has detrimental effects on the reproductive system of females, as evidenced by a significant imbalance of sex hormone levels and oxidative stress enzymes, which correlated with hematological parameters and lipid profile analysis. These results were more pronounced in the group that received 100% cola.

Conclusion: Daily administration of Coca-Cola elicited more damage compared to the control and 50% cola groups. To fully comprehend the pathophysiologic processes behind the negative effects of sugar-free cola beverages on public health, more research should be conducted.

Keywords: Sugar-free cola, Diet soda, Oxidative stress, Lipid profile, Histopathology.


Introduction

Carbonated drinks are the second most popular drinks consumed worldwide. Coca-Cola is a soft drink with balanced acidity manufactured from sweetened water. Coca-Cola, the original cola drink, was created in Atlanta in 1886 by John Pemberton. Nowadays, more than a billion Coca-Cola drinks are consumed every day because of the corporate products (Fahim et al., 2015). Fast food is frequently paired with fizzy beverages. Additionally, they can be found in diet beverages such as Diet Pepsi and Diet Coke (Otero-Losada et al., 2013).

It is projected that between 2019 and 2025, the global diet soda (DS) market will develop at a compound annual growth rate of 3.2%, reaching US$ 5.17 billion. Although it is widely accepted that the consumption of sugar-sweetened drinks should be reduced due to documented metabolic dangers, there is a growing disagreement on whether DS is a better alternative in terms of public health. There is growing evidence that consuming them in excess may be harmful to their health (Miller et al., 2020).

Long-term high cola soft drink intake may increase the risk of reproductive problems, including stunted fetal development, premature delivery, and spontaneous abortion (Imai et al., 2010).

Since female infertility accounts for more than half of all cases of infertility, the use of DS is continually rising globally. This study aimed to elucidate the existing literature relating to alterations in female reproductive parameters and sugar-free sodas.


Materials and Methods

Chemicals

Diet Coke

It was purchased from Sharkia’s local marketplaces in Egypt. After vigorous shaking, the Diet Coke was allowed to come to room temperature. It was administered by substituting water, which was freely consumed all day for 4 months, based on the tested groups.

Animal grouping

Thirty adult female rats (10–12 weeks old and starting weight of 160–190 g on average) were purchased from the Animal House of the Faculty of Veterinary Medicine, Zagazig University. The rats were housed with unlimited access to water and a regular pellet of animal food. Three groups of 10 rats were formed for each group. The control group was untreated to obtain the normal control references, drinking only tap water. Coca-Cola group (A): female rats received free access to 50% Coca-Cola diluted with 50% tap water. Coca-Cola group (B): female rats received free access to 100% Coca-Cola. The weight of each rat was measured and recorded every week. Before filling the drinking bottles, CO2 bubbles were extracted from the Diet Coke drinks by vigorously shaking them by hand for 10 minutes. The bottles were left open for 30 minutes. The volume of water or Coca-Cola in drinking bottles was measured and replaced every day. New commercial bottles were opened when needed, but no later than 48 hours, and completely unused bottles were stored unopened at room temperature, between 21°C and 25°C.

Sampling

After 4 months, the rats were weighed and fasted overnight. Blood was drawn into plain and EDTA-filled tubes from the eye’s medial canthus. Blood samples treated with EDTA were used to examine the complete blood picture. Another blood sample was drawn into a plain tube, allowed to clot for 30 minutes, and then the serum was separated for further biochemical analyses using a centrifuge running at 3,000 rpm for 10 minutes. The rats were then sacrificed via cervical dislocation. After that, the testes were extracted and the testicular samples were preserved for histological examination following fixation in 10% formalin buffered with phosphate.

Serum sex hormone assay

FSH, LH, progesterone, and estrogen activities were detected using enzyme-linked immunosorbent assay kits (MyBioSource, San Diego, California, USA, Catalog No: MBS9424769, MBS700807 MBS263466, and MBS703380, respectively) (Pierce and Parson, 1981).

Hematological analysis

Using an upgraded Neubauer chamber, the total counts of leucocytes (WBCs) and erythrocytes (RBCs) were performed. The hemoglobin concentration (Hb by g/100 ml blood) was calculated using the Hemoglowiner Laboratory Kit. The resultant cyanmethemoglobin was then quantified spectrophotometrically at 546 nm. The hematocrit value (HCT) was ascertained in duplicate samples using a microhematocrit centrifuge set at 3000 rpm for 15 minutes. Blood platelet counts, mean corpuscular volume (MCV), mean corpuscular hemoglobin (MCH), and mean corpuscular hemoglobin concentration (MCHC) were calculated using the methodology of Dacie and Lewis (1991).

Measurement of the lipid profile

The following blood lipid levels were measured: serum triglycerides (TG), total cholesterol (TC), high-density lipoprotein cholesterol (HDL), and low-density lipoprotein cholesterol (LDL) using colorimetric enzymatic techniques with an automated digital photometer set to 505 nm wavelength (Tiyyagura and Smith, 2006).

Measurement of the biomarkers of oxidative stress

The total antioxidant capacity (TAC) (Koracevic et al., 2001) and the levels of reduced glutathione (GSH) (Beutler et al., 1963) and malondialdehyde (MDA) (Esterbauer et al., 1982) were evaluated using the colorimetric technique. Superoxide dismutase (SOD) and catalase (CAT) were analyzed using the colorimetric method established by Vives-Bauza et al. (2007).

Histopathological examination

The ovaries were first preserved in a 10% formalin solution using an automated tissue processor, then dried, cleaned in xylene, embedded, and blocked in paraffin. Subsequently, rotary microtomes were used to cut slices of 5 μm thickness, and hematoxylin and eosin (H&E) staining was used to stain them (Suvarna et al., 2018)

Statistical analysis

SPSS v26 (IBM Inc., Armonk, NY, USA) was used for statistical analysis. The data were analyzed using histograms and the Shapiro–Wilks test to determine if the distribution was normally distributed. The ANOVA (F) test was used to compare quantitative variables across the three groups. The results were presented as means and SD. The chi-square test was used to determine how often each qualitative variable occurred and what percentage it made up. A statistically significant result was defined as a p value of 0.05 in both tails (Franke et al., 2012).

Ethical approval

Experiments were performed according to the ethical guidelines of Zagazig University, Egypt, with an ethical approval number (ZU- IACUC/2/F/ 104/ 2020).


Results

Serum sex hormones profile

In terms of female sex hormones, the results shown in Table 1 indicate that both groups A and B had significantly lower serum levels of FSH, LH, and estrogen than the control group, while the treated groups had significantly higher serum levels of progesterone than the control group.

Hematological results

The hematological parameters of female albino rats were examined (Table 2) to determine the effect of daily Coca-Cola consumption. Results from the hematological analysis demonstrated that groups A and B had substantially lower red blood cell counts, hemoglobin concentrations, and hemoglobin concentration times than the control group. However, the treated groups showed substantially higher MCV and MCH values than the control groups. The blood platelet and procalcitonin levels of both treatment groups were significantly higher than those of the control group. Compared with the control group, the treatment groups showed a decline in white blood cell and lymphocyte counts.

Effects on lipid profile parameters

Table 3 shows the effects of Coca-Cola consumption on blood TC, TGs, high density lipoprotein cholesterol (HDLc), and low density lipoprotein cholesterol (LDLc) levels. Both groups that consumed Coca-Cola showed considerable increases in TC, TGs, and LDLc levels compared with the control group. The HDLc level was considerably lower in group B than in the control group.

Effects on oxidative stress markers

Lipid peroxidation, as shown by MDA generation, was much higher in group A than in the control group, and it was even more obvious in group B when it came to oxidative stress biomarkers. Diet cola, when taken daily, significantly reduced CAT, SOD, TAC, and GSH levels compared with the control value (Table 4).

Histopathological findings of the ovary

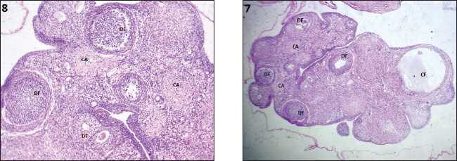
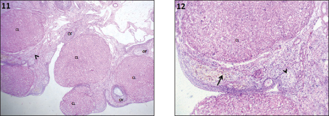
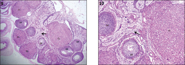
Sections from ovarian tissue (control group) showed different stages of DF and CF within the ovarian cortex. No corpus luteum was detected, but a number of corpus albicans (CA) were seen, as shown in Fig. 1. Ovarian tissue (group of 50% cola + 50% water, 4 months’ post-exposure) revealed the number of growing follicles and active corpus lutein. Interstitial cell hyperplasia with vacuolation was observed (Fig. 2). The most characteristic changes in the ovaries of females (group of 100% cola-free sugar 4 months’ post-exposure) were enlarged corpus luteum, reduced number of ovarian follicles, and vacuolated stromal cells with the presence of hemosiderin pigment (Fig. 3).


Discussion

Some people turn to fast food and low-calorie drinks, primarily diet carbonated drinks, to prevent weight gain. Thus, this study aimed to ascertain the impact of DS on several reproductive and hematological markers in adult female rats.

This study found that Coca-Cola consumption dramatically reduced hemoglobin, red blood cell, and hemoglobin C transfusion counts. Consistent with the large reductions in RBCs, there have been substantial drops in Hb levels. Coca-Cola contains caffeine, which may slow the hemoglobin production rate, which could explain why the hemoglobin concentration is lower. Caffeine affects the body’s ability to absorb iron, magnesium, potassium, and calcium. Additionally, the present investigation found that the treated groups had significantly lower RBC counts, which is consistent with the lower hemoglobin content and may indicate that erythropoiesis is inhibited in the bone marrow. One possible explanation for the decrease in red blood cell count is that soft drinks contain sodium benzoate, a preservative. It has been suggested that a combination of vitamin C and sodium benzoate, a carcinogenic chemical, can harm the bone marrow, causing anemia and a decrease in red blood cells (Mercer, 2006).

Table 1. Effect of chronic daily consumption of diet cola on sex hormone levels in the study groups.

Table 2. Effect of chronic daily consumption of diet cola on CBC of the study groups.

Regarding lipid profile analysis, Diet Coke exhibited significantly higher increases in TC, TG, and LDLc concentrations in both groups than in the control group. This can be explained by the low-calorie and sugar-free composition of Diet Coke. Nonetheless, aspartame concentration in Diet Coke may increase food intake in both humans and animals, and when used carelessly, may result in aberrant lipid profile parameters (Serôdio et al., 2018). Additionally, because abnormal lipid profiles are common in conditions such as type-2 diabetes and atherosclerosis, the increased concentrations of total and LDL cholesterol, and decreased levels of HDL cholesterol may indicate that Diet Coke may have the potential to predispose people to these conditions (Zhavoronkova et al., 2020).

A certain concentration of reactive oxygen species (ROS) is necessary for some reproductive physiological processes, such as sperm function and acrosome response/hyperactivation. Oxidative stress and macromolecule damage, particularly lipid degradation, are consequences of an excess of ROS (Aitken and Roman, 2008). New evidence shows that treated rats, particularly group B, had much higher MDA levels than control rats. GSH, TAC, SOD, and CAT antioxidant levels were lower. Consistent with the findings of Alkhedaide et al. (2016), we found that the long-term intake of soft drinks causes oxidative stress, which could lead to liver damage.

Aspartame is the most widely used artificial sweetener in the world, having received the Food and Drug Administration approval in 1996 to be used as a general sweetener. Sugar-free cola contains aspartame, which is converted into aspartic acid, phenylalanine, and methanol in the stomach. Methanol production and its metabolites, formaldehyde and formic acid, enhance oxidative stress and carbonyl stress in the rat brain following chronic high-aspartame consumption (Iyyaswamy and Rathinasamy, 2012). Therefore, it was assumed that the artificial sweeteners in diet Coca-Cola varieties, in addition to caffeine, would cause oxidative damage to the testes.

Table 3. Effect of chronic daily consumption of diet cola on the lipid profile of the study groups.

Table 4. Effect of chronic daily consumption of diet cola on antioxidants in the studied groups.

Fig. 1. Photomicrograph of the ovary (control group) showing different stages of developing follicles (DF) and cystic follicles (CF) within the ovarian cortex with the presence of CA. H&E 7, 8 4X, and 10X, respectively.

Fig. 2. Photomicrograph of the ovary (group of 50% cola + 50% water, 4 months post-exposure) showing the number of growing follicles (DF) and the number of active corpus lutein (CL) beside the presence of interstitial cell hyperplasia and vacuolation (arrow). H&E 9, 10, and 40X, respectively.

Fig. 3. Photomicrograph of the ovary (group of 100% cola-free sugar 4 months post-exposure) showing enlarged corpus luteum (CL), reduced number of ovarian follicles (DF), and vacuolated stromal cells (arrowheads) with the presence of hemosiderin pigment (arrow). H&E 11, 12, 10X, and 40X, respectively.


Conclusion

The available evidence demonstrated the significant detrimental consequences of consuming large amounts of sugar-free cola drinks, which may lead to a biochemical imbalance. In addition, the continuous use of sugar-free cola beverages may influence the structure and function of the female reproductive system.


Acknowledgments

None.

Funding

Not available.

Authors’ contributions

All authors contributed equally.

Conflict of interest

The authors declare that there is no conflict of interest.

Data availability

All related data are included in the manuscript.


References

Adedeji, T.G., Abosede, C.O. and Dareowolabi, B.O. 2022. A high carbohydrate and soda diet influences metabolic variables in Wistar rats. Life Sci. 291, 120295.

Aitken, R.J., Roman. and SD. 2008. Antioxidant systems and oxidative stress. Oxid. Med. Cell. Longev. 1, 15–24.

Alkhedaide, A., Soliman, M.M., Salah-Eldin, A.E., Ismail, T.A., Alshehiri, Z.S. and Attia, H.F. 2016. Chronic effects of soft drink consumption on the health state of Wistar rats: a biochemical, genetic and histopathological study. Mol. Med. Rep. 13(6), 5109–5117.

Arisha, A.H. and Moustafa, A. 2019. Potential inhibitory effect of swimming exercise on the Kisspeptin-GnRH signaling pathway in male rats. Theriogenology 133, 87–96.

Beutler, E., Duron, O. and Kelly, B.M. 1963. Improved method for the determination of blood glutathione. J. Lab. Clin. Med. 61, 882–888.

Chiu, Y.H., Afeiche, M.C., Gaskins, A.J., Williams, P.L., Mendiola, J., Jørgensen, N., Swan, S.H. and Chavarro, J.E. 2014. Sugar-sweetened beverage intake in relation to semen quality and reproductive hormone levels in young men. Hum. Reprod. 29(7), 1575–1584.

Chris, M. 2006. New Benzene test reveals flaw in FDA soft drink investigation beverage daily. Available via https://www.beveragedaily.com/Article/2006/04/19/New-benzene-test-reveals-flaw-in-FDA-soft-drinks-investigation/com (Accessed 19 April 2006).

Dacie, J.V. and Lewis, S.M. 1991. Practical hematology. UK: Elsevier, Churchill Livingstone.

Dalenberg, J.R., Patel, B.P., Denis, R., Veldhuizen, M.G., Nakamura, Y., Vinke, P.C., Luquet, S. and Small, D.M. 2020. Short-term consumption of sucralose with, but not without, carbohydrate impairs neural and metabolic sensitivity to sugar in humans. Cell Metab. 31(3), 493–502.e7.

Esterbauer, H., Cheeseman, K.H., Dianzani, M.U., Poli, G. and Slater, T.F. 1982. Separation and characterization of the aldehydic products of lipid peroxidation stimulated by ADP-Fe2+ in rat liver microsomes. Biochem. J. 208(1), 129–140.

Fahim, A., Ilyas, M.S. and Jafari, F.H. 2015. Histologic effects of carbonated drinks on rat kidney. J. Rawalpindi Med. Coll. 19(2), 2.

Franke, T.M., Ho, T. and Christie, C.A. 2012. The chi-square test: often used and more often misinterpreted. Am. J. Eval. 33(3), 448–458.

Gardener, H., Moon, Y.P., Rundek, T., Elkind, M.S.V. and Sacco, R.L. 2018. Diet soda and sugar-sweetened soda consumption in relation to incident diabetes in the Northern Manhattan study. Curr. Dev. Nutr. 2(5), nzy008.

Guido, C., Santoro, M., De Amicis, F., Perrotta, I., Panza, S., Rago, V., Cesario, M.G., Lanzino, M. and Aquila, S. 2014. Human sperm anatomy and endocrinology in varicocele: role of androgen receptor. Reproduction 147(5), 589–598.

Imai, A., Ichigo, S., Takagi, H., Matsunami, K., Suzuki, N. and Yamamoto, A. 2010. Effects of cola intake on fertility: a review. Health 2(09), 997.

Iyyaswamy, A. and Rathinasamy, S. 2012. Effect of chronic exposure to aspartame on oxidative stress in brain discrete regions of albino rats. J. Biosci. 37, 679–688.

Jensen, P.N., Howard, B.V., Best, L.G., O’Leary, M., Devereux, R.B., Cole, S.A., Maccluer, J.W., Ali, T., Lee, E.T., Yeh, F.L., Yeh, J., Umans, J.G. and Fretts, A.M. 2020. Associations of diet soda and non-caloric artificial sweetener use with markers of glucose and insulin homeostasis and incident diabetes: the Strong Heart Family Study. Eur. J. Clin. Nutr. 74(2), 322–327.

Jensen, T.K., Priskorn, L., Holmboe, S.A., Nassan, F.L., Andersson, A.M., Dalgård, C., Petersen, J.H., Chavarro, J.E. and Jørgensen, N. 2020. Associations of fish oil supplement use with testicular function in young men. JAMA Netw. Open 3(1), e1919462.

Koracevic, D. 2001. Method for the measurement of antioxidant activity in human fluids. J. Clin. Pathol. 54(5), 356–361.

Lutsey, P.L., Steffen, L.M. and Stevens, J. 2008. Dietary intake and the development of the metabolic syndrome: the atherosclerosis risk in communities study. Circulation 117(6), 754–761.

Ma, J., Jacques, P.F., Meigs, J.B., Fox, C.S., Rogers, G.T., Smith, C.E. and McKeown, N.M. 2016. Sugar-sweetened beverage but not diet soda consumption is positively associated with progression of insulin resistance and prediabetes. J. Nutr. 146(12), 2544–2550.

Miller, C., Ettridge, K., Wakefield, M., Pettigrew, S., Coveney, J., Roder, D., Durkin, S., Wittert, G., Martin, J. and Dono, J. 2020. An in-depth exploration of knowledge and beliefs associated with soda and diet soda consumption. Nutrients 12(9), 2841.

Otero-Losada, M.E., Mc Loughlin, S., Rodríguez-Granillo, G., Müller, A., Ottaviano, G., Moriondo, M., Cutrin, J.C. and Milei, J. 2013. Metabolic disturbances and worsening of atherosclerotic lesions in ApoE-/- mice after cola beverages drinking. Cardiovasc. Diabetol. 12(1), 57.

Pierce, J.G. and Parsons, T.F. 1981. Glycoprotein hormones: structure and function. Annu. Rev. Biochem. 50(1), 465–495.

Serôdio, P.M., Mckee, M. and Stuckler, D. 2018. Coca-Cola - a model of transparency in research partnerships? A network analysis of Coca-Cola’s research funding (2008–2016). Public Health Nutr. 21(9), 1594–1607.

Sharma, P., Huq, A.U. and Singh, R. 2014. Cypermethrin-induced reproductive toxicity in the rat is prevented by resveratrol. J. Hum. Reprod. Sci. 7(2), 99–106.

Suvarna, K.S., Layton, C. and Bancroft, J.D. 2018. Bancroft’s theory and practice of histological techniques. Beijing, China: Elsevier Health Sciences.

Swithers, S.E. 2013. Artificial sweeteners produce the counterintuitive effect of inducing metabolic derangements. Trend Endocrinol. Metab. 24(9), 431–441.

Tiyyagura, S.R. and Smith, D.A. 2006. Standard lipid profile. Clin. Lab. Med. 26(4), 707–732.

Vives-Bauza, C., Starkov, A. and Garcia-Arumi, E. 2007. Measurements of the antioxidant enzyme activities of superoxide dismutase, catalase, and glutathione peroxidase. Methods Cell Biol. 80, 379–393.

Zhavoronkova, G., Miziuk, S. and Zhavoronkov, V. 2020. The influence of transnational corporations on the economy of developing countries (Contemplating the example of how the Coca–Cola Company influences the economy of Ukraine). Sci. Bull. Bus. Sociol. 5(1), 9–13.



How to Cite this Article
Pubmed Style

Abdelsalam HM, Diab AA, Mohamed MH, Abdelhamid MM, Hassan MA. Diet Coke’s chronic daily intake in female albino rats: Biochemical and histopathological effects on certain hematological and reproductive parameters. Open Vet. J.. 2025; 15(8): 3541-3548. doi:10.5455/OVJ.2025.v15.i8.16


Web Style

Abdelsalam HM, Diab AA, Mohamed MH, Abdelhamid MM, Hassan MA. Diet Coke’s chronic daily intake in female albino rats: Biochemical and histopathological effects on certain hematological and reproductive parameters. https://www.openveterinaryjournal.com/?mno=271488 [Access: December 08, 2025]. doi:10.5455/OVJ.2025.v15.i8.16


AMA (American Medical Association) Style

Abdelsalam HM, Diab AA, Mohamed MH, Abdelhamid MM, Hassan MA. Diet Coke’s chronic daily intake in female albino rats: Biochemical and histopathological effects on certain hematological and reproductive parameters. Open Vet. J.. 2025; 15(8): 3541-3548. doi:10.5455/OVJ.2025.v15.i8.16



Vancouver/ICMJE Style

Abdelsalam HM, Diab AA, Mohamed MH, Abdelhamid MM, Hassan MA. Diet Coke’s chronic daily intake in female albino rats: Biochemical and histopathological effects on certain hematological and reproductive parameters. Open Vet. J.. (2025), [cited December 08, 2025]; 15(8): 3541-3548. doi:10.5455/OVJ.2025.v15.i8.16



Harvard Style

Abdelsalam, H. M., Diab, . A. A., Mohamed, . M. H., Abdelhamid, . M. M. & Hassan, . M. A. (2025) Diet Coke’s chronic daily intake in female albino rats: Biochemical and histopathological effects on certain hematological and reproductive parameters. Open Vet. J., 15 (8), 3541-3548. doi:10.5455/OVJ.2025.v15.i8.16



Turabian Style

Abdelsalam, Hani M., Abdelaziz Abbas Diab, Mohamed Hussien Mohamed, Mai Mahmoud Abdelhamid, and Mona A. Hassan. 2025. Diet Coke’s chronic daily intake in female albino rats: Biochemical and histopathological effects on certain hematological and reproductive parameters. Open Veterinary Journal, 15 (8), 3541-3548. doi:10.5455/OVJ.2025.v15.i8.16



Chicago Style

Abdelsalam, Hani M., Abdelaziz Abbas Diab, Mohamed Hussien Mohamed, Mai Mahmoud Abdelhamid, and Mona A. Hassan. "Diet Coke’s chronic daily intake in female albino rats: Biochemical and histopathological effects on certain hematological and reproductive parameters." Open Veterinary Journal 15 (2025), 3541-3548. doi:10.5455/OVJ.2025.v15.i8.16



MLA (The Modern Language Association) Style

Abdelsalam, Hani M., Abdelaziz Abbas Diab, Mohamed Hussien Mohamed, Mai Mahmoud Abdelhamid, and Mona A. Hassan. "Diet Coke’s chronic daily intake in female albino rats: Biochemical and histopathological effects on certain hematological and reproductive parameters." Open Veterinary Journal 15.8 (2025), 3541-3548. Print. doi:10.5455/OVJ.2025.v15.i8.16



APA (American Psychological Association) Style

Abdelsalam, H. M., Diab, . A. A., Mohamed, . M. H., Abdelhamid, . M. M. & Hassan, . M. A. (2025) Diet Coke’s chronic daily intake in female albino rats: Biochemical and histopathological effects on certain hematological and reproductive parameters. Open Veterinary Journal, 15 (8), 3541-3548. doi:10.5455/OVJ.2025.v15.i8.16