E-ISSN 2218-6050 | ISSN 2226-4485
 

Case Report


Open Veterinary Journal, (2021), Vol. 11(3): 418–421

Case Report

10.5455/OVJ.2021.v11.i3.13

Mean seeds, migrating plant awns embedded in a miniature poodle’s bladder wall

Kathleen Graham Lomax*

Janssen Pharmaceuticals, 1400 McKean Rd, Spring House, PA 19477, USA

*Corresponding Author: Kathleen Graham Lomax. 1 Oaklawn Rd, Short Hills, NJ 07078, USA. Email: kglomax [at] gmail.com

Submitted: 11/05/2021 Accepted: 12/07/2021 Published: 14/08/2021


Abstract

Background: Intramural bladder foreign bodies resulting from migration of grass awns have rarely been described in the veterinary literature. Surgical removal should be considered the treatment of choice for symptomatic lesions.

Case Description: A clinical case of a miniature poodle with increased urination and progressive hypoechoic mural nodules on repeat bladder ultrasound is described. An exploratory bladder surgery with excision of the two lesions was performed, allowing the extraction of a plant foreign body from the bladder wall.

Conclusion: This is among the first cases in the veterinary literature in which a grass awn has been surgically extracted from the wall of the bladder in a dog. Differential diagnosis of intramural bladder lesions in dogs should include lesions caused by migratory plant awn foreign bodies.

Keywords: Awn, Bladder, Plant foreign body.


Introduction

Grass awns, or the short bristle at the tip of certain grass seeds, are capable of migrating into various parts of animals since their morphology allows penetration into tissues and also facilitates deeper advancement (Brennan and Ihrke, 1983). Plant awn structure of many types of grass includes tips with angled barbs and serrations which allow for the passage of the seed in a single direction precipitated by body motion, typically along the least resistant pathway (along the airway, the urethra, fascial planes between muscle bellies, or retroperitoneal space if entered via the bronchus) (Lauenroth, 2013; Combs et al., 2017).

In a series of 182 canine and feline cases involving awn migration seen over a 1 year period published by Brennan and Ihrke (1983), the most common sites for awns were the following: external ear canal (51% of cases), interdigital webs, eye (7/8 cats in the series), nose, lumbar area, and thoracic cavity. Other reviews have noted a similar list of common sites for awn penetration, including the skin, ear canal, conjunctiva, paranasal sinuses, and the oral cavity (Burgisser and Hintermann 1967; McCandlish and Ormerod, 1978; Dennis et al., 2005; Mateo et al., 2007). A review by Combs et al. (2017) noted a difference between locations in animals from their own practice (ear canal involvement in 47%) versus animals referred to them (pyothorax present in 34% of referrals).

There are several reports of awns leading to urolithiasis in animals (Osborne et al., 1995; Reimer et al., 2004; Appel et al., 2008; Ulrich et al., 2009; Del Angel-Caraza et al., 2011), a case report of a canine enterovesical awn (Wyatt et al., 1999), and a case report of an awn within a dog’s urethral mucosa (Morshead, 1983).

This case represents one of the first clinical descriptions of a migrating plant awn in the wall of the canine bladder that was successfully treated surgically.


Case Details

A 15-year-old neutered male miniature poodle from the New Jersey suburbs was referred for a work-up of polyuria and elevated urine protein. He has a past medical history significant for multiple subcutaneous lipomas including a splenic lipoma leading to splenectomy 2 years prior, bilateral repair of canine cruciate ligament tears, as well as age-related thickening of his mitral valve. His vaccines were up to date. He developed progressive problems with polyuria which recently worsened leading to his referral to a tertiary care hospital. Abdominal ultrasound at the time of referral found evidence of gallbladder sludge as well as a hypoechoic nodule-like area of focal wall thickening in the bladder along the ventral wall on midline measuring up to 1.0 cm in thickness, 1.7 cm in width, and 1.6 cm in length. Top differential diagnoses of the bladder nodule included a granuloma or neoplasia. A urine Cadet BRAF test (Antech Diagnostics, US) for transitional cell carcinoma was negative as was the urine culture.

A review of laboratory tests suggested the diagnosis of Cushing’s disease (including a progressively rising alkaline phosphatase over the prior 3-year period from high normal 156–721 IU/l and microalbuminuria of 23 mg/dl), and the diagnosis was confirmed with an ACTH stimulation test (pre 6.4, post 22.3 mg/dl). He was started on trilostane 10 mg PO BID to treat the Cushing’s and ursodiol 125 mg once a day for the gallbladder findings.

It was recommended that the bladder nodule be rechecked and 2 months later a repeat bladder ultrasound showed a new bladder nodule. The pre-existing nodule measured perhaps slightly smaller on repeat scan 1.1 × 1.1 cm, and there was a new smaller nodule noted caudoventrally (4 × 5 mm). Medial iliac lymph nodes were noted to be at the upper limit of normal size (5 mm) with normal shape and echogenicity. Ultrasound-guided fine-needle aspirates (22 gauge) were attempted on 2 different days a week apart but no tissue cells were obtained (only marked blood admixed with blood-associated leukocytes, platelet clumps, and free lipid droplets; no atypical cells or microorganisms were identified).

Bladder surgery was then scheduled to remove the lesions that were felt most likely to be neoplastic (likely a transitional cell carcinoma/urothelial carcinoma) given the expansion in number over the intervening 2 months and the age of the dog (15). The 2 lesions were resected and read by 4 pathologists at Zoetis Reference Laboratories (Louisville, KY).

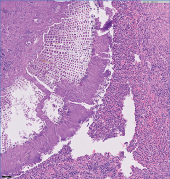
Lesion 1 as seen in Figure 1, embedded within the suppurative inflammation of the ventral bladder wall’s muscularis layer was a plant foreign body. The inflammation is associated with reactive fibrosis and peripheral lymphofollicular aggregates. Peripheral portions of the inflammation also have heavy aggregates of hemosiderosis and multifocal acute hemorrhage.

Fig. 1. Plant foreign body was embedded within the suppurative inflammation of the ventral bladder wall’s muscularis layer. The inflammation is associated with reactive fibrosis and peripheral lymphofollicular aggregates. Peripheral portions of the inflammation also have heavy aggregates of hemosiderosis and multifocal acute hemorrhage.

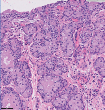
Lesion 2 as seen in Figure 2, there is a segmental area of mucosal thickening with surface ulceration. Coalescing nests of transitional epithelia extend into the underlying superficial submucosa; transitional cells have abundant eosinophilic cytoplasm with distinct cell borders, ovoid-round nuclei with finely stippled chromatin and moderate anisokaryosis and rare mitotic figures. One of the four reviewing pathologists suggested this could be a possible low-grade urothelial carcinoma with a curative clean margin excision.

The poodle had a generally uneventful recovery with his urination frequency gradually returning to a normal pattern over 2 months post-surgery (timeline matched the surgeon’s expectations). At 6 weeks post-op, he did experience an episode of superficial yeast infection on his back due to the diapers he had been wearing in the weeks immediately after surgery. The yeast infection (“diaper rash”) was in the area that had been shaved during surgery to excise 2 collections of canine papillomas. A 2-week course of topical antibacterial/antifungal preparation (SkinGuard Restore Mousse; Ceva Animal Health, Lenexa, KS; active ingredients chlorhexidine gluconate 3%, climbazole 3%, and phytosphingosine salicyloyl 0.05%) resolved the infection, associated with cessation of diaper usage.

Fig. 2. Segmental area of mucosal thickening with surface ulceration. Coalescing nests of transitional epithelia extend into the underlying superficial submucosa; transitional cells have abundant eosinophilic cytoplasm with distinct cell border, ovoid-round nuclei with finely stippled chromatin and moderate anisokaryosis and rare mitotic figures. Possible low grade urothelial carcinoma with a curative clean margin excision.


Discussion

Plant awns can invade animals’ bodies by means of the awn’s barbed tips with serrations, allowing progressive infiltration into an animal via many entry points, including from their fur/hair into their skin, inhalation (sinus, nose), or ingestion (oral cavity). Problematic grasses include the following “mean seeds” (a term coined by Cathy Lewis, meanseeds.com): wild barley (Hordeum murinum) and wild oats (Avena fatua) are problems in Europe, whereas wild rye (both Elymus virginicus and Elymus canadensis) and foxtail grass (many species share this name, including Alopecurus, Bromus madritensis, Hordeum jubatum, and Setaria) are problematic in the US and Canada (Lauenroth, 2013; Flisi et al., 2018).

Many cases in the literature are in hunting dogs or other animals regularly exposed to plants that have awns capable of penetrating skin. The case described here is a different setting, that of a sedate 15-year old poodle living a suburban existence yet who ended up with a plant foreign body embedded in the bladder mucosa and who has an uncertain exposure history as well as entry point for the awn. The dog did undergo at least 2 cystocentesis procedures and a splenic resection in the 2 years before the awn was diagnosed but it seems unlikely the awn was introduced iatrogenically during one of those procedures. Most likely the dog encountered the mean seed on a walk and then the awn attached itself to the dog’s hair around his penile opening and advanced up the urethra and, instead of the many cases in the literature where awns either got embedded in the urethra itself or got into the bladder and formed stones, the awn got embedded in the bladder wall.

The ultrasound findings of this case, in particular, the hypoechoic nature of the bladder nodules, is different from some other published reports of embedded awns which were frequently reported as hyperechoic or a mixture of hypo- and hyperechoic regions. Cherbinsky et al. (2010) reported on 2 dogs and 1 cat who had intravesical awns that all had a hyperechoic ultrasound appearance; 1 dog with an awn embedded in the urethra had hyperechoic walls but a hypoechoic lumen. Citi et al. (2017) reported on two dogs with awn-induced pancreatitis. One dog had a hypoechoic area between the right liver lobe and right pancreatic lobe and a vegetal foreign body described as a 5 cm linear branched hyperechoic structure with a dense acoustic shadow was located within the hypoechoic area. Another case report of a dog with an awn in the prostate had ultrasound evidence of a linear hyperechoic structure in the prostatic parenchyma surrounded by a hypoechoic/anechoic area (correlating to a local inflammatory response) (Marchesi et al., 2020).

While rare, this case points out the importance of including foreign bodies from embedded plant awns in the differential diagnosis of intramural lesions in the bladder.


Acknowledgements

The staff at Madison Animal Hospital (Madison, NJ) including Gregory Erdman, VMD, and Barbara Day, DVM; the staff at Red Bank Veterinary Hospital (Tinton Falls, NJ) including Andrew Weissman, VMD (radiology), Elena Kabatchnick, DVM (internal medicine), Ryan Ford, VMD (surgery); EJ Ehrhart, DVM, PhD (Zoetis Reference Laboratories, Louisville, KY).

Conflict of interest

The author declares that there is no conflict of interest.


References

Appel, S.L., Lefebvre, S.L., Houston, D.M., Holmberg, D.L., Arnold Stone, J.E., Moore, A.E.P. and Weese, J.S. 2008. Evaluation of risk factors associated with suture-nidus cystoliths in dogs and cats: 176 cases (1999–2006). J. Am. Vet. Med. Assoc. 233, 1889–1895.

Brennan, K.E. and Ihrke, P. J. 1983. Grass awn migration in dogs and cats: a retrospective study of 182 cases. J. Am. Vet. Med. Assoc. 182, 1201–1204.

Burgisser, H. and Hintermann, J. 1967. Cerebral damages due to foreign bodies from the nasal cavity in the dog. Schweiz. Arch. Tierheilkd. 109, 537–538.

Cherbinsky, O., Westropp, J., Tinga, S., Jones, B. and Pollard, R. 2010. Ultrasonographic features of grass awns in the urinary bladder. Vet. Radiol. Ultrasound. 51, 462–465.

Citi, S., Mannucci, T., Pedala, F., Vannozi, I. and Vignoli, M. 2017. Acute pancreatitis associated with peritoneal migration of grass awn in two dogs. Acta Vet. 67(4), 587–592.

Combs, M., Hicks, A., Young, P., Gibbons, G., Lord, J., Edwards, G., Golland, D., Michelsen, J., Raidal, S., Davies, S. and Malik, R. 2017. Grass seed foreign body-related disease in dogs and cats: a wide spectrum of clinical presentations. Aust. Vet. Pract. 47, 13–24.

Del Angel-Caraza, J., Pérez-García, C.C., Bende, B., Diez-Prieto, I. and García-Rodríguez, B. 2011. Mouse barley awn (Hordeum murinum) migration induced cystolithiasis in 2 male dogs. Can. Vet. J. 52, 67–69.

Dennis, M.M., Pearce, L.K, Norrdin, R.W. and Ehrhart, E.J. 2005. Bacterial meningoencephalitis and ventriculitis due to migrating plant foreign bodies in three dogs. Vet. Pathol. 42, 840–844.

Flisi, S., Dall’Aglio, M., Spadini, C., Silvia Cabassi, C. and Quintavalla, F. 2018. Microbial isolates from vegetable foreign bodies inhaled by dogs. Vet. Med. Int. 2018, 1–9; doi:10.1155/2018/3089282

Lauenroth, W. 2013. Podcast with transcript for American Kennel Club’s Canine Health Foundation. Grass awn migration disease, handout on AKC website. Available via https://www.akcchf.org/educational-resources/podcasts/podcast-transcripts/Dr-Bill-Lauenroth-Grass-Awn-Migration-Disease.pdf (Accessed 12 April 2021).

Marchesi, M.C., Moretti, G., Angeli, G., Birettoni, F., Porciello, P., Bufalari, A. and Caivano, D. 2020. Prostatic localization of a migrating grass awn foreign body in a dog. Vet. Sci. 7(4), 192; doi:10.3390/vetsci7040192

Mateo, I., Lorenzo, V., Muñoz, A. and Pumarola, M. 2007. Brainstem abscess due to plant foreign body in a dog. J. Vet. Intern. Med. 21, 535–538.

McCandlish, I.A. and Ormerod, E.J. 1978. Brain abscess associated with a penetrating foreign body. Vet. Rec. 102, 380–381.

Morshead, D. 1983. Submucosal urethral calculus secondary to foxtail awn migration in a dog. J. Am. Vet. Med. Assoc. 182, 1247–1248.

Osborne, C.A., Lulich, J.P., Bartges, J.W., Unger, L.K., Thumchai, R., Koehler, L.A., Bird, K.A., and Felice, L.J. 1995. Canine and feline urolithiasis: Relationship of etiopathogenesis to treatment and prevention. In Canine and feline nephrology and urology. Eds., Osborne, C.A. and Finco, D.R. Philadelphia, PA: Williams and Wilkins, pp: 798–888.

Reimer, S.B., Kyles, A.E., Schulz, K.S., Bernsteen, L., Wooldridge, J.D. and Ling, G.V. 2004. Unusual urethral calculi in 2 male dogs. J. Am. Anim. Hosp. Assoc. 40, 157–161.

Ulrich, L.K., Osborne, C.A., Cokley, A. and Lulich, J.P. 2009. Changing paradigms in the frequency and management of canine compound uroliths. Vet. Clin. North Am. Small Anim. Pract. 39, 41–53.

Wyatt, K.M., Marchevsky, A.M. and Kelly, A. 1999. An enterovesical foreign body in a dog. Aust. Vet. J. 77, 27–29.



How to Cite this Article
Pubmed Style

Kathleen Graham Lomax|. Mean seeds, migrating plant awns embedded in a miniature poodle’s bladder wall. Open Vet. J.. 2021; 11(3): 418-421. doi:10.5455/OVJ.2021.v11.i3.13


Web Style

Kathleen Graham Lomax|. Mean seeds, migrating plant awns embedded in a miniature poodle’s bladder wall. https://www.openveterinaryjournal.com/?mno=80677 [Access: January 25, 2026]. doi:10.5455/OVJ.2021.v11.i3.13


AMA (American Medical Association) Style

Kathleen Graham Lomax|. Mean seeds, migrating plant awns embedded in a miniature poodle’s bladder wall. Open Vet. J.. 2021; 11(3): 418-421. doi:10.5455/OVJ.2021.v11.i3.13



Vancouver/ICMJE Style

Kathleen Graham Lomax|. Mean seeds, migrating plant awns embedded in a miniature poodle’s bladder wall. Open Vet. J.. (2021), [cited January 25, 2026]; 11(3): 418-421. doi:10.5455/OVJ.2021.v11.i3.13



Harvard Style

Kathleen Graham Lomax| (2021) Mean seeds, migrating plant awns embedded in a miniature poodle’s bladder wall. Open Vet. J., 11 (3), 418-421. doi:10.5455/OVJ.2021.v11.i3.13



Turabian Style

Kathleen Graham Lomax|. 2021. Mean seeds, migrating plant awns embedded in a miniature poodle’s bladder wall. Open Veterinary Journal, 11 (3), 418-421. doi:10.5455/OVJ.2021.v11.i3.13



Chicago Style

Kathleen Graham Lomax|. "Mean seeds, migrating plant awns embedded in a miniature poodle’s bladder wall." Open Veterinary Journal 11 (2021), 418-421. doi:10.5455/OVJ.2021.v11.i3.13



MLA (The Modern Language Association) Style

Kathleen Graham Lomax|. "Mean seeds, migrating plant awns embedded in a miniature poodle’s bladder wall." Open Veterinary Journal 11.3 (2021), 418-421. Print. doi:10.5455/OVJ.2021.v11.i3.13



APA (American Psychological Association) Style

Kathleen Graham Lomax| (2021) Mean seeds, migrating plant awns embedded in a miniature poodle’s bladder wall. Open Veterinary Journal, 11 (3), 418-421. doi:10.5455/OVJ.2021.v11.i3.13